Recently, I saw someone ask: “I usually brush my teeth 1-2 times a day, about 3 minutes each time, and if I brush my teeth properly, I don’t need to wash my teeth, right? ” In fact, this notion is wrong.
Of course, brushing your teeth carefully every day is the basic operation to ensure daily oral health, but brushing your teeth is not a substitute for cleaning your teeth, why?
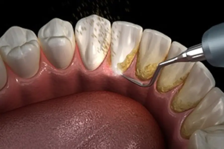
Let’s first take a look at the difference between the concepts of these two actions:
Brushing: It is an important self-care method for using a toothbrush to remove plaque, soft scale and food residues and keep the mouth clean; it is also the most important means for people to self-remove plaque and prevent the occurrence, development and recurrence of periodontal disease.
Teeth scaling: Teeth scaling, commonly known as scaling, the professional term supragingival scaling, refers to the use of scaling instruments to remove calculus, plaque and stains on the gums, and to polish the tooth surface to delay the re-deposition of plaque and calculus. Plaque and calculus are the main local irritants of periodontal disease, and scaling is the most effective method to remove supragingival plaque and calculus.
In fact, to a certain extent, scaling is a better way to clean teeth than brushing. Although both are the main means to prevent periodontal disease, what brushing can remove is plaque and soft scale. of plaque, calculus and pigmentation. Brushing your teeth carefully is a daily oral care process with attitude and behavior, while scaling is a professional oral cleaning behavior. The two cannot replace and support each other!
Tags: diseaseperiodontal diseaseteethtooth

