As patients increasingly seek aesthetic dental solutions, the emphasis on esthetic outcomes has become a vital component of periodontal treatment planning. Addressing gingival recession, a condition that often leads to both functional and aesthetic concerns, has seen a variety of treatment techniques proposed. However, achieving predictable results in root coverage requires a nuanced understanding of the underlying conditions that lead to exposed root surfaces. In cases where aesthetic demands are particularly high, especially when the papillae are large and the gingival grooves are shallow, a double pedicle flap approach can serve as an effective treatment option.
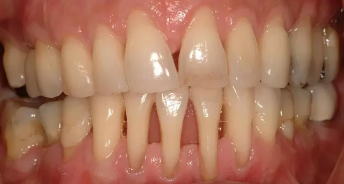
This case report explores the management of a female patient presenting with severe gingival recession, accompanied by dentinal hypersensitivity. The condition significantly impacted her ability to perform optimal oral hygiene and comfortably consume hot or cold foods. The patient’s clinical presentation, with receding gums and a denuded root surface, was effectively treated using the double pedicle flap technique, which not only restored keratinized tissue but also alleviated the hypersensitivity and provided satisfactory root coverage.
Gingival recession, characterized by the displacement of the gingival margin beyond the cementoenamel junction, is a common condition resulting from periodontal disease and poor oral hygiene. Other contributing factors include the patient’s gingival biotype, tooth morphology, dental alignment, frenum attachment, and alveolar bone dehiscence, all of which can exacerbate the risk of recession.
Periodontal plastic surgical procedures aimed at correcting gingival recession can be broadly classified based on the direction of tissue transfer. These include rotational flaps, such as lateral sliding flaps and papilla flaps, and advanced flaps, which may involve lateral or rotational movement of tissue. The double papilla flap, introduced by Wainberg and later refined by Cohen and Ross, represents a specific type of pedicle graft that has demonstrated success in covering exposed root surfaces in challenging cases.
Root coverage procedures’ success is heavily influenced by several factors, including the height of the interdental bone, the morphology of surrounding soft tissue, the extent of exposed avascular tooth surface during healing, and the quantity of graft material used. Each of these factors plays a crucial role in achieving optimal outcomes when treating gingival recession.
In this case, the double pedicle flap approach proved effective in managing both the aesthetic and functional aspects of the patient’s condition, highlighting its potential for use in patients with severe crowding and gingival recession.

