Excessive sugar consumption has long been associated with numerous health issues, but growing evidence suggests it also plays a major role in inflammation and microbial imbalance, especially concerning oral health. Sugars, particularly fructose and sucrose, have been found to trigger low-grade systemic inflammation and contribute to dysbiosis, a disruption of the natural balance of microbial populations. This microbial imbalance is a key factor in the onset of periodontal disease, as well as other systemic health issues. Reducing sugar intake could significantly benefit both oral health and overall well-being by curbing inflammation and supporting microbial balance.
The Role of Sugar in Periodontal Disease
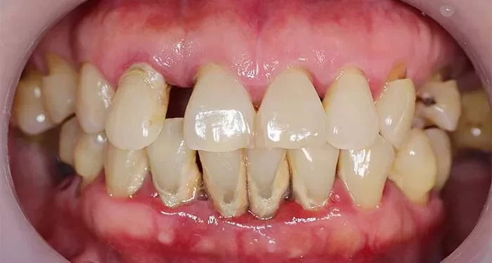
Periodontal disease often begins with dysbiosis in the oral microbiome, where harmful bacteria outgrow beneficial ones, leading to inflammation and damage to the surrounding tissues. Excessive sugar intake encourages the growth of pathogenic bacteria and contributes to the formation of biofilm—a sticky bacterial layer on teeth that drives inflammation in the gums. Over time, this can result in periodontitis, a more severe form of gum disease marked by deep pockets around the teeth, bone loss, and loosening of teeth.
The effects of periodontal disease extend far beyond the mouth, as it is linked to several systemic conditions, including cardiovascular disease, inflammatory bowel disease, and neurodegenerative disorders. The connection between oral health and these conditions is bidirectional, as each can exacerbate the other through shared inflammatory pathways.
Sugar’s Broader Impact on Health and Inflammation
One of the key mechanisms through which sugar promotes inflammation is by weakening the gut barrier. Fructose, in particular, can disrupt the tight junctions between cells lining the intestines, making the gut more permeable. This condition, known as endotoxemia, allows harmful bacterial toxins to enter the bloodstream, triggering systemic inflammation. Such inflammation is linked to metabolic syndrome and non-alcoholic fatty liver disease (NAFLD), both of which also increase the risk of developing periodontal disease. Additionally, sugar-rich diets disrupt immune function, increasing levels of pro-inflammatory cytokines like TNF-α and IL-6, which fuel inflammation both in the mouth and throughout the body.
Microbial Dysbiosis and Sugar
The human microbiome, consisting of trillions of microorganisms in the gut and mouth, plays a crucial role in maintaining health. A high-sugar diet can disrupt this balance, leading to dysbiosis, characterized by an overgrowth of harmful bacteria and reduced levels of beneficial microbes, such as butyrate-producing bacteria, which help maintain gut health. This imbalance can lead to increased intestinal permeability, chronic inflammation, and, in turn, negatively affect oral health. Research has shown that diets rich in fructose and sucrose increase the prevalence of harmful gram-negative bacteria, reducing microbial diversity and promoting inflammation.
In the mouth, excessive sugar consumption similarly reduces microbial diversity, promoting the growth of disease-causing bacteria such as Streptococcus and Actinomyces, which are commonly involved in periodontal disease. Even short-term exposure, such as rinsing with sucrose, can disturb the microbial balance and accelerate the development of harmful bacteria, ultimately leading to gum inflammation and periodontitis.
Prevention Through Diet and Oral Hygiene
While oral hygiene practices like brushing and flossing are key to preventing periodontal disease, controlling dietary sugar intake is just as important for maintaining oral health. Diets low in sugar and processed foods, combined with an increase in nutrient-dense whole foods, have been shown to reduce gingival inflammation and lower pathogen levels in the mouth. These changes not only help improve oral health but also contribute to reduced systemic inflammation and overall better health.
By addressing both mechanical and dietary factors, individuals can better manage their oral and general health, reducing the risk of inflammation-driven diseases associated with excessive sugar consumption.

