
Shi Karim and his patient discuss a recent implant case and the entire practice team’s award-winning approach to patient care.
This male patient came as a referral from another practice seeking treatment to restore his smile. He communicated feeling self-conscious about speaking, smiling and showing his teeth in general. He had started to find it difficult to enjoy certain foods.



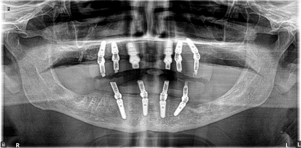
What were the key challenges in this particular case, and how did you approach solving them?
Shi Karim (SK): The patient had multiple acute infections in his upper arch and large cystic areas. This wasn’t a case where I was comfortable immediately loading the uppers. We discussed the options available and decided the best course of treatment was to remove all upper teeth and provide a temporary bridge for three months to allow the active infections to settle and for things to improve, reducing our risks. Going from upper natural dentition to a complete denture obviously posed a challenge for the patient, luckily he understood why it was necessary and he was fully onboard with it.
The finances were also a challenge to discuss due to this being such a big treatment plan. I explained to the patient what each stage consisted of, and what each cost, and once again he was understanding and was happy to progress.
The patient really didn’t want a lower temporary denture, so we removed his lower teeth, placed implants on the same day and also immediately loaded on the same day too, thanks to our lab technician.
Can you walk us through the treatment plan you designed and why you chose these specific methods?
SK: We removed all lower teeth and placed four implants, which we immediately loaded using the skills of our lab technician.
For the upper arch, we removed all upper teeth and provided an immediate complete denture. The plan was created digitally and all records were sent to the lab prior to the surgery.
We left the upper arch for three months, then placed our implants and immediately loaded. We were able to do this in a clean and settled site.
The alternative treatment plan would have been full dentures for the long term.



How do you balance the functional and aesthetic aspects of dental treatment in cases like this?
SK: The patient was fully aware from the start that with this type of bridge, his teeth weren’t going to feel like individual teeth and that there would be a thin substructure (bar) connecting the teeth.
Examples of other implant bridges were shown to the patient.
We managed his expectations and he was made aware that he may also have a slight lisp at the start while he became used to the new prostheses.
The occlusion was carefully managed to ensure loading was spread out along the whole bridge rather than it being heavy in certain areas. This allowed a more even distribution of loading across all implants.
We also explained the concept of a shortened dental arch as we couldn’t place the implants too distal in the 6/7 areas due to insufficient bone. The patient was fully aware that the full arch bridge was going to be 6-6 in the final prosthesis and 5-5 in the temporary prosthesis in order to reduce any cantilever force and reduce fractures.
What innovations or technologies were used during this treatment, and how did they enhance the outcome?
SK: We planned this case digitally with full intraoral scanning and also full case photographs. The surgery was also carried out part guided.



Reflecting on this case, what do you think the broader implications are for your practice or the field of dentistry?
SK: We are seeing more and more of these complex cases being referred to us by other dentists. In addition, due to our reputation, we are also finding a lot of patients self-referring to us, too. Not only is this great for the business, it also brings the enhanced satisfaction of using an advanced skill mix to help patients, and in many cases, change their lives for the better.
What was the patient’s experience of implant treatment?
What initially motivated you to seek dental treatment, and how did you feel about the process?
Patient: My teeth had become loose and unsightly and I had become self-conscious about smiling and showing my teeth. I also found it difficult to enjoy eating some foods I used to enjoy.
How has this treatment impacted your daily life or your confidence?
Patient: Since having my treatment, my daily life has massively improved. I no longer have any worries about smiling or eating what I want. It has even impacted on simple everyday things, like being able to have a conversation without being conscious of how my teeth look.
What was your experience like working with your dentist and the treatment team?
Patient: Shi and the whole team were great, they are extremely professional while at the same time friendly. This gave me confidence in the treatment I was getting and made for a more relaxing experience than I was expecting.

Were there any unexpected challenges or outcomes during your implant treatment journey that stood out to you?
Patient: Because my gum disease was severe there was a longer time frame for the treatment than I had initially expected. But Shi explained the necessity of waiting until my mouth health was at its optimum to ensure the best results from the treatment. The other thing that stood out was that Shi ensured that the whole process was pain free, and that was completely unexpected.
What advice would you give to others considering similar dental procedures?
Patient: My only regret with the implant treatment is that I didn’t get it done sooner. I would heartily recommend anyone to do it if they feel conscious about their smile.

