Many people feel embarrassed or worried when yellow stains appear on their teeth. This common problem can make you less confident when you smile or speak. The reasons for yellow stains can vary, and it is important to know what causes these stains and how you can remove them effectively. Let’s explore the best ways to tackle yellow stains on teeth, using simple steps and expert advice.
Understanding Yellow Teeth: Why Does It Happen?
Yellow teeth do not always mean poor brushing or oral care. There are several causes for yellow stains:
Dietary Habits
Certain foods and drinks can easily stain teeth. Tea, coffee, red wine, cola, and foods with strong colors can leave stains. Over time, these stains become noticeable and difficult to remove with normal brushing.
Smoking and Tobacco
Using tobacco products can make teeth yellow or even brown. The chemicals in these products stick to the enamel and cause deep stains.
Aging and Genetics
As people age, tooth enamel becomes thinner and reveals more of the natural yellow layer underneath. Some people may naturally have thicker or thinner enamel because of genetics, making their teeth look more or less yellow.
Poor Oral Hygiene
Not brushing and flossing properly allows plaque to build up, which can lead to surface stains and yellowish teeth.
Medications
Some medicines, especially certain antibiotics or mouth rinses with chlorhexidine, can also cause tooth discoloration.
Evaluating Yellow Stains: Is It Just a Stain or Something More?
Before trying to remove the yellow color, it helps to understand if it is just a surface stain or a deeper problem. Surface stains are easier to treat and mostly caused by foods and habits. If the yellow shade comes from inside the tooth (intrinsic stains), home remedies might be less effective. In these cases, you may need help from a dental professional.
Natural and Home Remedies for Yellow Teeth
There are various home remedies people use to whiten their teeth. Some methods have shown mild results, while others may not be effective or could harm the teeth.
Brushing with Baking Soda
Baking soda is one of the most popular natural remedies. It is mildly abrasive and can scrub away surface stains when used gently. To use, sprinkle a small amount of baking soda on your toothbrush and brush for a short time once or twice a week. Avoid overuse, as it can wear away enamel and increase sensitivity.
Oil Pulling
Oil pulling involves swishing coconut or sesame oil in your mouth for ten to fifteen minutes. This can remove bacteria and reduce plaque, making teeth look cleaner. Although it is safe, its whitening effect is usually mild and takes time.
Hydrogen Peroxide (Diluted)
Low concentrations of hydrogen peroxide can be used as a mouth rinse or mixed with baking soda for brushing. It acts as a bleach and helps lighten surface stains. However, it should be used with caution, as too much can irritate gums or make teeth sensitive. Never swallow hydrogen peroxide and always use diluted solutions.
Eating Crunchy Fruits and Vegetables
Snacking on apples, carrots, or celery can help clean the teeth as you chew. These foods act as natural scrubbers and can help remove some surface stains. They are healthy and safe for daily use but will not change tooth color dramatically.
What to Avoid: Harmful Myths and Practices
Some internet trends suggest mixing lemon juice with baking soda or using activated charcoal. While these might promise quick results, they can actually damage tooth enamel. Acidic products like lemon juice can erode enamel, and charcoal is too abrasive for regular use. Avoid using any substance that is not approved by dental professionals.
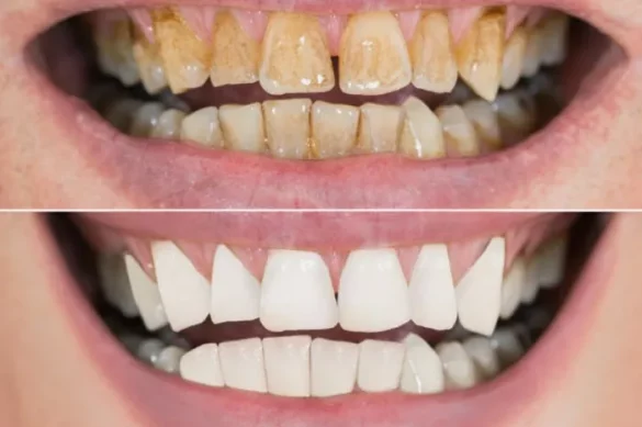
Professional Whitening: When Home Remedies Are Not Enough
If you have tried home-based methods but still notice strong yellow stains, it may be time to visit a dentist. Dental professionals use safe and tested procedures to whiten teeth more effectively. Some professional options include:
In-Office Whitening
Dentists can apply bleaching agents directly to your teeth for fast and noticeable results. These treatments are controlled, and your gums and mouth are well protected during the process.
Take-Home Whitening Trays
Dentists can also provide custom-made mouth trays with professional bleaching gel. You wear these trays at home as directed, which gradually whitens your teeth over a few weeks.
Both professional methods are safe when supervised and can whiten teeth by several shades in a short time.
Important Safety Tips
- Children, pregnant women, and people with sensitive teeth, cavities, or gum disease should not use whitening products without consulting a dentist.
- Never use undiluted chemicals or home remedies that cause burning, pain, or irritation.
- Only use products that are approved by dental authorities to avoid permanent damage to the teeth or gums.
How to Keep Teeth White After Whitening
Once your teeth look whiter, you can maintain their brightness by practicing good oral hygiene and making a few lifestyle changes:
- Brush teeth twice daily with fluoride toothpaste.
- Floss every night to remove hidden food and plaque.
- Rinse your mouth or drink water after having tea, coffee, or wine.
- Avoid smoking and chewing tobacco.
- Visit your dentist regularly for checkups and cleanings.
Conclusion
Yellow stains on teeth are a common problem, but they can be managed with the right combination of home care and professional support. Simple remedies like baking soda, oil pulling, and healthy eating help with surface stains, while professional whitening treatments can target deeper discoloration. It is important to always prioritize safety and consult with a dentist when in doubt. With consistent care, you can enjoy a brighter, whiter smile every day.
Frequently Asked Questions (FAQs)
What causes yellow stains on teeth?
Yellow stains can be caused by foods, drinks, smoking, age, genetics, and some medications. Poor oral hygiene is also a factor.
Are natural remedies safe for teeth whitening?
Some, like baking soda and oil pulling, are safe in moderation. Avoid acidic or harsh substances like lemon juice and activated charcoal, as they can damage enamel.
How often should I whiten my teeth at home?
Limit use of home remedies to once or twice a week. Overuse can harm your enamel and make your teeth sensitive.
When should I see a dentist for yellow stains?
If home remedies do not work or if the stains are severe, visit a dentist. Professional treatments are more effective and safer for deep stains.
How can I prevent yellow stains from coming back?
Maintain good oral hygiene, limit staining foods and drinks, avoid tobacco, and get regular dental checkups to keep your teeth looking bright.

