/
/
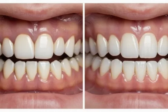
How to Whiten Yellow Teeth From Smoking

How to Whiten Yellow Teeth From Smoking

Smoking introduces persistent yellow and brown stains on the teeth due to the effects of tar and nicotine present in tobacco products. These stains can impact both the appearance and health of your teeth, affecting confidence and possibly leading to further oral health problems. Understanding the most effective ways to whiten yellow teeth from smoking is crucial for restoring a bright, healthy smile—no matter where you are on your smoking cessation journey.

Understanding How Smoking Causes Yellow Teeth

Chemicals in tobacco—primarily tar and nicotine—are the main culprits behind the yellowing and browning of teeth. When you smoke, these substances stick to the surface of your enamel, leading to visible stains. Over time, the stains become more intense and harder to remove, especially if smoking is long-term and oral hygiene is not maintained.

Types of Tooth Stains from Smoking

Tobacco stains are mostly extrinsic, meaning they affect the enamel, which is the outer layer of the teeth. In severe or long-term cases, enamel wears down and deeper, intrinsic stains can develop. Age-related darkening can also combine with smoking stains, making teeth appear even more yellow.

Effects of Tar and Nicotine

Tar is a dark, sticky substance that stains enamel rapidly. Nicotine, while colorless, reacts with oxygen to form yellowish compounds that cling to the teeth. Together, these chemicals not only discolor teeth but also contribute to other oral health problems such as gum disease, bad breath, and increased risk of tooth decay.

The Harm to Oral Health Beyond Stains

The visual aspect of yellow teeth from smoking is only part of the issue. Tar and nicotine in tobacco reduce saliva flow, resulting in higher plaque build-up and an increased risk of gum disease. Smoking can also slow healing in your gums, promote oral infections, and raise your risk of oral cancer. Therefore, addressing stains is not just about cosmetics—it’s about overall health.

Home-Based Methods to Whiten Yellow Teeth from Smoking

Many smokers wonder if they can whiten their teeth at home. While deep or old stains may require professional intervention, several home-based strategies can help with mild or recent discoloration:

Good Oral Hygiene

Brushing your teeth at least twice a day with a fluoride toothpaste is critical. After smoking, brush as soon as possible to reduce the impact of tar and nicotine on enamel structure. Flossing daily and tongue scraping can also help.

Baking Soda

Baking soda is a gentle abrasive and can help scrub away surface stains. To use, make a paste with baking soda and water and brush with it once or twice a week. However, avoid excessive use as it can erode enamel when used too often.

Whitening Toothpastes and Mouthwashes

Over-the-counter whitening toothpastes and mouthwashes often contain mild bleaching agents like hydrogen peroxide. These can help remove surface stains with regular use, but may not be effective against deeper stains or long-lasting discoloration.

Dietary Adjustments

Reduce your intake of other staining substances, such as coffee, tea, and red wine. If you do consume them, use a straw to minimize contact with your teeth. Chewing crunchy fruits and vegetables like apples or celery can act as a natural scrub for your teeth.

In-Office and Professional Whitening Solutions

When home care is not enough, professional teeth whitening becomes necessary for many smokers. Dentists offer advanced treatments that safely and effectively remove even stubborn tobacco stains.

Professional Cleaning

Routine cleanings by a dental hygienist use specialized tools to remove tartar and polish away surface stains. This can restore some brightness and should be a regular part of your oral care every six months.

In-Office Teeth Whitening

Dentists use concentrated peroxide gels and activate them with specialized lights or lasers. This process can dramatically lighten teeth in a single session, often by several shades. In-office bleaching is one of the fastest and most reliable ways to remove the yellow color caused by smoking.

Custom Take-Home Whitening Trays

A dentist can provide you with custom-fitted trays and professional-grade whitening gel. You use these at home, usually for several days or weeks, to achieve gradual whitening safely under supervision.

Dental Veneers and Bonding

For extreme or stubborn intrinsic stains, cosmetic procedures like veneers or bonding may be recommended. Veneers are thin shells that cover the front of your teeth, while bonding involves layering tooth-colored resin to hide deep discoloration. Both options provide instant improvements and are commonly used when bleaching is insufficient.

Prevention: The Best Solution

The most effective way to protect teeth from yellowing is to stop smoking. Quitting smoking halts further accumulation of stains and significantly benefits your oral and overall health. If quitting is not yet possible, reducing frequency, brushing immediately after smoking, and increasing water intake can help slow the progression of stains.

Tips to Maintain Whiter Teeth After Treatments

  • Maintain strict oral hygiene: Brush twice daily and floss once.
  • Rinse your mouth with water after smoking or eating.
  • Arrange regular dental visits at least every six months for polishing and checkups.
  • Consider using whitening toothpastes or maintenance gels as recommended by your dentist.
  • Avoid foods and beverages known to stain teeth or use a straw as much as possible.

Potential Risks and Cautions

Some at-home whitening options, such as overuse of baking soda, hydrogen peroxide, or abrasive mixtures, can damage enamel. Always follow dentist advice and instructions when using whitening products. Not all stains can be removed with home remedies, and improper use of certain products can even worsen tooth sensitivity or gum irritation.

Conclusion

Smoking causes yellow teeth and significant oral health challenges. While there are effective ways to whiten yellow teeth—from professional treatments to persistent home care—the best results come from a combination of prevention, good oral hygiene, and regular dental visits. Quitting smoking is the best step forward, but if you are unable to quit immediately, consistent oral maintenance and timely whitening interventions can still help you maintain a brighter and healthier smile.

Frequently Asked Questions (FAQs)

Can yellow teeth from smoking be completely reversed?

In many cases, regular professional cleanings and whitening treatments can significantly improve tooth color, though deep or old stains may require cosmetic interventions like veneers.

Is it safe to use home remedies for whitening smoker’s teeth?

Most home-based methods are safe if used occasionally and gently. Avoid harsh abrasives or excessive use of baking soda, and consult your dentist for persistent stains.

How long do professional whitening results last for smokers?

Results vary but usually last from one to three years with good oral hygiene. Continued smoking may cause stains to return more quickly.

When should I see a dentist for smoking stains?

If stains are not improving with routine home care, or if you notice additional symptoms like gum discomfort or tooth pain, professional evaluation is necessary.

WhatsApp