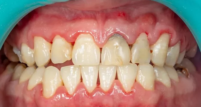
Periodontitis, a chronic inflammatory condition affecting the oral cavity, is marked by the progressive destruction of the structures that support the teeth. The harmful effects of periodontopathogens extend beyond the local periodontal tissues, contributing to various systemic health complications. This underscores the urgent need for more effective therapeutic strategies. While current standard treatments—combining mechanical debridement with systemic anti-inflammatory and antibiotic therapies—remain prevalent, they often show limited effectiveness, produce adverse side effects, and foster the development of antibiotic resistance.
In recent years, significant progress has been made in the development of localized drug delivery systems, presenting a promising alternative for more targeted and sustained treatment. These smart drug delivery platforms are designed to respond to the specific microenvironment within periodontal pockets. By undergoing transformations such as gelation or controlled drug release, these systems optimize treatment efficacy and offer more precise, long-lasting therapeutic effects.
This review delves into the underlying causes and prognostic factors of periodontitis, discusses key diagnostic biomarkers, and provides an in-depth analysis of stimuli-responsive biomacromolecule-based gels used in advanced drug delivery systems. These systems are assessed based on their structural integrity, biological compatibility, and therapeutic potential. At the same time, the review highlights the challenges and limitations preventing these innovations from reaching widespread clinical use.
By integrating insights into how material properties and biological interactions influence performance, the review emphasizes the potential of these advanced delivery systems to overcome current treatment barriers. Bridging the gap between experimental development and clinical application, these innovations hold transformative promise for improving therapeutic outcomes and ultimately enhancing the quality of life for patients managing periodontal disease.

