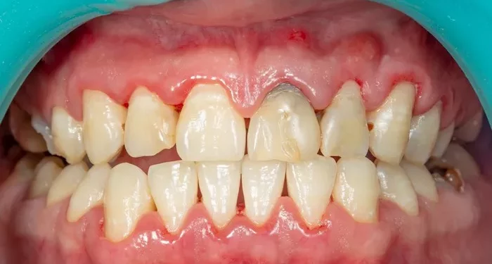
A groundbreaking study is underway in Lithuania to test the effectiveness of an innovative, light-activated antibacterial method for managing severe periodontitis. Titled “Regular home-use of dual-light photodynamic therapy in the management of chronic stage III–IV periodontitis,” or LumoKaunas2023 for short, this clinical trial focuses on the Lumoral device, a treatment tool developed by Finnish scientists that combines a specialized mouthwash with dual-light antibacterial therapy.
The LumoKaunas2023 study has already recruited 38 of its planned 60 participants, all diagnosed with advanced stages of periodontitis (stages III–IV). Associate Professor Ingrida Pacauskiené leads the study, with a research team that includes Professor Vita Mačiulskienė, Dr. Renata Šadzevičienė, and dentist Raimonda Guntulytė.
Currently used in several European and Asian countries, though not yet in the U.S., Lumoral has shown promising results in managing early-stage periodontitis in prior studies, including the HOPE-CP trial. This Lithuanian trial seeks to determine if Lumoral’s benefits extend to more severe cases that demand intensive care. “With LumoKaunas2023, we are investigating whether light-activated therapy can effectively manage advanced stages of periodontitis,” says Mikko Kylmänen, clinical research project manager at Koite Health Ltd, who recently visited the Kaunas research team.
The study’s quality and data integrity are being rigorously monitored by the local company Insuvia UAB, which ensures adherence to high data collection standards. This careful oversight will help the team produce reliable findings on the Lumoral device’s effectiveness for patients with advanced periodontal disease.

