
Henry Schein Earns Dual Honors at Ragan’s 2023 CSR and Diversity Awards
Henry Schein announced that chairman and CEO Stanley M. Bergman was honored as Ragan’s 2023 Executive of the Year for Diversity and Inclusion. Stanley M.

Henry Schein announced that chairman and CEO Stanley M. Bergman was honored as Ragan’s 2023 Executive of the Year for Diversity and Inclusion. Stanley M.
A dentist has been suspended for 12 months after making ‘sexually motivated’ comments to an elderly patient. In 2020, reports were received by the GDC
The company closed 65 deals in the dental and healthcare space, acquiring more than $170 million in revenue from those transactions in the first half
Rob Bang, DDS, practices at Wing, Mack, Smith and Bang in Newark, Ohio. He recently spoke with Becker’s about why he’d like to see the

Cavity fillings are a common dental procedure used to repair teeth that have been affected by tooth decay or cavities. If you’ve recently had a

ADA President George R. Shepley, D.D.S., welcomes hundreds of attendees at the SmileCon Opening Session Oct. 5. Orlando, Fla. — Balance. Wellness. Taking care of

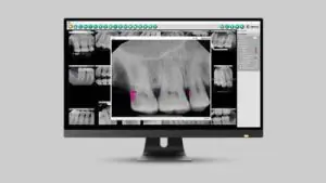
Leading innovator of dental imaging technologies, sensors, intraoral scanning, and CBCT solutions, DEXIS announces the launch of the DEXassist solution with 2D findings powered by

Rep. Michelle Caldier, D.D.S., R-Wash., and former ADA President Joseph Crowley, D.D.S. The Council of State Governments, in partnership with the ADA and the Department

According to a comprehensive research report by Brandessence Market Research (BMRC), “Oral Care Market Size, Share, Companies & Trends Analysis Report By Product, Based On Industry
Washington pays $5,592, or 14.1 percent, above the national average of $39,712. ZipRecruiter collects its compensation data, which was updated Sept. 11, from employer job
Six months on, we’re still waiting on the Government to publish its promised recovery plan, so we’re encouraged the opposition are now stepping up

Bragging rights: The UT Health San Antonio School of Dentistry celebrates winning the first Dental Olympics at SmileCon 2022 in Houston. Which school will rise