/
/
Smooth-Surface Dental Caries and Decalcification: Restoration and Reinforced Sealant Application

Smooth-Surface Dental Caries and Decalcification: Restoration and Reinforced Sealant Application

INTRODUCTION

Saturating acid-etched axial enamel surfaces with liquid-unfilled resin to intercept decalcification progress at the beginning dental caries process is not new. Regardless o whether phosphoric or hydrochloric acid has been used for etching, this method has been called “microrestorative dentistry,” “smooth surface sealant application,” and “resin impregnation.” Currently, DMG uses the term “resin infiltration” for its product, Icon.1-8  

After treating teenagers in private practice for many years, it has been observed that posterior teeth are frequently strangers to the toothbrush and dental floss in such patients. Some adolescents brush the teeth they can see in the mirror when smiling and neglect those in the back of the mouth. Buccal surfaces of first and second molars are often seen with dental plaque accumulation and the resulting decalcification and caries lesions, but other axial surfaces are also susceptible.

Two examples of teens with buccal surface lesions are pictured. In November 2006, the first patient proved to have a significant cavitated Class V caries lesion requiring resin-modified glass ionomer restoration. The restored tooth was photographed in August 2019. The other patient not only had occlusal carious grooves requiring preventive resin repair9 but also buccal surface decalcification, which was treated with a modification of the “smooth surface sealant” using Adper Prompt L Pop (3M) and ACTIVA BioACTIVE-RESTORATIVE (Pulpdent).2,3 By pictorial essay, treatments for the affected buccal surfaces are shown (Figures 1 to 15). 


DISCUSSION

Vitremer resin-modified glass-ionomer (3M) was selected for the buccal surface restoration in the first patient for several reasons: the fluoride content of the material, the material’s coefficient of thermal expansion similar to that of tooth structure leading to excellent marginal integrity over time, and the resin component that makes such materials more resistant to abrasion from toothbrushing and erosion from the acidic oral environment. In addition, this material proved itself convincingly in a retrospective study of hundreds of restorations of primary teeth.10

Treatment of the decalcification in the second case was a modification of the “smooth surface sealant.”2,3 Instead of painting the etched surface only with unfilled resin bonding agent, the cured bonding agent was covered with a thin layer of ACTIVA Bio-ACTIVE material. This gives a slightly thicker fluoride-containing bonded cover for the surface, which logically would protect against toothbrushing wear and renewed decalcification. The fluoride, calcium, and phosphate content in ACTIVA could perhaps have positive influence on associated enamel. Using an unfilled bonding agent prior to placing a resin bonding sealant has been shown to be effective for the treatment of pits and fissures.13,14 The full value of bonding a filled-resin type of material to create a “reinforced” smooth surface sealant, such as shown here, would make for a worthy in vitro study in an artificial caries model.


PATIENT ONE

smooth-surface dental caries
Figure 1. A 17-year-old patient with dental plaque accumulation on the maxillary second molar.
smooth-surface dental caries
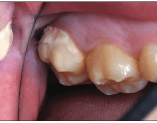
Figure 2. Cleoid scraping through chalky decalcification revealed cavitation.
smooth-surface dental caries
Figure 3. After local anesthesia injection, low-speed preparation was done with round burs. Mechanical retention using a slow-speed inverted cone bur augmented the glass ionomer bond.
smooth-surface dental caries
Figure 4. Vitremer10 resin-modified glass-ionomer restorative material was injected, light polymerized, shaped, finished, and polished.
smooth-surface dental caries
Figure 5. Resin-modified glass ionomer repair is shown at 12 years, 10 months postoperatively, prior to dental cleaning.

PATIENT TWO

smooth-surface dental caries
Figure 6. Second molar buccal surface decalcification in a 15-year-old patient.
smooth-surface dental caries
Figure 7. After local infiltration anes- thesia, a retraction cord was placed.
smooth-surface dental caries
Figure 8. Decalcified enamel was cut smooth with a slow-speed diamond.
smooth-surface dental caries
Figure 9. A 40% phosphoric acid (Onyx LG [Centrix]) was applied for 30 seconds.
Figure 10. The surface was rinsed and dried with water/air spray. Some white decalcified enamel remained, but the surface was resistant to scraping.
Figure 11. After unfilled resin bonding agent (Adper Prompt L Pop [3M]) was applied over the surface and photo- cured, ACTIVA BioACTIVE-RESTORATIVE (Pulpdent), shade A1, was injected and smeared in a thin layer with the side of a #23 explorer.11,12
smooth-surface dental caries
Figure 12. The ACTIVA-covered surface was exposed to a curing light beam (1,100 mW/cm2) for 20 seconds.
smooth-surface dental caries
Figure 13. The surface was finished and polished smooth with a succession of aluminum oxide disks (Sof-Lex [3M]).
smooth-surface dental caries
Figure 14. After preventive resin repair of occlusal grooves, the entire crown was painted with 5% fluoride varnish.9
smooth-surface dental caries
Figure 15. Buccal surface shown 9 months after application of “reinforced” smooth-surface sealant. The A1 shade of ACTIVA appears whiter than buccal enamel.

REFERENCES

1.  Robinson C, Hallsworth AS, Weatherell JA, et al. Arrest and control of carious lesions: a study based on preliminary experiments with resorcinol-formaldehyde resin. J Dent Res. 1976;55(5):812–8. doi:10.1177/00220345760550051601

2. Croll TP. Bonded resin sealant for smooth surface enamel defects: new concepts in “microrestorative” dentistry. Quintessence Int. 1987;18(1):5-10. 

3. Croll TP. Restorative dentistry for preschool children: Smooth surface sealants. In: Johnson D, Tinanoff N, eds. Dental Clinics of North America: Dental Care for the Preschool Child. W.B. Saunders;1995:39(4):745.

4. Glasspoole EA, Erickson RL, Davidson CL. Protective effects of resin impregnation on demineralization of enamel. Am J Dent. 1999;12(6):315–20. 

5. Paris S, Meyer-Lueckel H, Kielbassa AM. Resin infiltration of natural caries lesions. J Dent Res. 2007;86(7):662–6. doi:10.1177/154405910708600715 

6. Paris S, Meyer-Lueckel H. Masking of labial enamel white spot lesions by resin infiltration—a clinical report. Quintessence Int. 2009;40(9):713–8. 

7. Torres CR, Borges AB. Color masking of developmental enamel defects: a case series. Oper Dent. 2015;40(1):25-33. Doi:10.2341/13-346-T

8. Nizami N, Lawson N. Treatment of white spot lesions with resin infiltration. Dent Today. 2021;40(8):90–3. 

9. Simonsen RJ. Chapter 8: Preventive resin restorations. In: Simonsen RJ, ed. Clinical Applications of the Acid Etch Technique. Quintessence Publishing; 1978:89-95.

10. Croll TP, Bar-Zion Y, Segura A, et al. Clinical performance of resin-modified glass ionomer cement restorations in primary teeth. A retrospective evaluation. J Am Dent Assoc. 2001;132(8):1110–

6. Doi:10.14219/jada.archive.2001.0336

11. Croll TP, Berg JH, Donly KJ. Dental repair  material: a resin-modified glass-ionomer bioactive ionic resin-based composite. Compend Contin Educ Dent. 2015;36(1):60–5. 

12. Croll TP, Lawson NC. Class I and Class II bonded tooth repair with resin-modified glass-ionomer bioactive ionic resin-based composite. Dent Today. 2020; 39(1):86–9.

13. Croll TP. The quintessential sealant? Quintessence Int. 1996;27(11):729–32. 

14. Feigal RJ, Musherure P, Gillespie B, et al. Improved sealant retention with bonding agents: a clinical study of two-bottle and single-bottle systems. J Dent Res. 2000;79(11):1850–6. Doi:10.1177/00220345000790110601


ABOUT THE AUTHORS

Dr. Croll is the clinic director of Cavity Busters Doylestown in Doylestown, Pa; an adjunct professor of pediatric dentistry at the University of Texas Health Science Center at San Antonio School of Dentistry; and a clinical professor of pediatric dentistry at the Case Western Reserve School of Dental Medicine in Cleveland. He can be reached at [email protected].

Dr. Bresler is president of Doc Bresler’s Cavity Busters, medical director at Red Lion Surgicenter, an assistant professor of pediatric dentistry at the Temple University Kornberg School of Dentistry, and an assistant professor of pediatric dentistry at the University of Pennsylvania School of Dental Medicine. He can be reached at [email protected].

Dr. Ferretti is professor and chair of the pediatric dentistry department of the Case Western Reserve School of Dental Medicine and chief of dentistry at Rainbow Babies and Children’s Hospital at Irving & Jeanne Tapper Pediatric Dental Center in Cleveland. He can be reached at [email protected].

Disclosure: The authors report no disclosures. 

WhatsApp