/
/
Study Links Oral Health to Systemic Diseases: The Role of Oral Microbiome

Study Links Oral Health to Systemic Diseases: The Role of Oral Microbiome

Seoul, South Korea – A team of researchers led by Professor Lee Hyo-jung from Seoul National University Bundang Hospital, alongside Professors Kim Hyun-ji and Park Kyung-woon from the Department of Diagnostic Laboratory Medicine, has unveiled crucial findings regarding the impact of an unbalanced oral microbial environment, particularly exacerbated by periodontitis, on systemic diseases.

Microorganisms, which constitute roughly 2% of human body weight, inhabit various areas including the mouth, intestines, and skin, forming a complex ecosystem known as the microbiome. The interactions between beneficial and harmful bacteria within this ecosystem play a significant role in disease development and prevention.

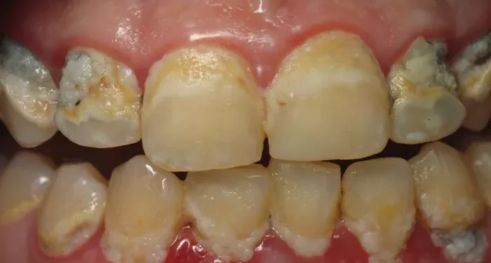
The oral cavity serves as a primary reservoir for these microbial communities, hosting over a thousand species of bacteria. Saliva can contain anywhere from 50 million to 1 billion bacteria per milliliter. Research has established a connection between a compromised oral microbiome and an increased risk of systemic diseases such as diabetes, cardiovascular disease, cancer, and dementia.

Despite these findings, the pathways through which the oral microbial community influences the microbiome and systemic health have remained elusive. To investigate this connection, the research team conducted a metagenomic study, analyzing genomic DNA from patients with periodontitis and healthy individuals, utilizing samples stored at Seoul National University Bundang Hospital.

The team employed dielectric sequencing techniques to examine various biological materials, including saliva, oral walls, oral plaque, stool, and blood from periodontitis patients. They discovered that specific microorganisms associated with periodontitis found in the saliva and dental plaque of affected patients were also present in their blood. This finding suggests that blood may serve as a potential marker for understanding how periodontal diseases like periodontitis influence systemic health.

This research represents a significant step toward elucidating the relationship between oral health and various systemic conditions, including diabetes, atherosclerosis, and cancer. Notably, it offers insights into the mechanisms through which oral health impacts overall bodily health, confirming the existence of an oral-blood microbial axis.

Professor Lee Hyo-jung emphasized the need for increased attention to oral health care, stating, “We must recognize that periodontal inflammation, which deteriorates the microbial environment in the oral cavity, can have detrimental effects on the entire body.”

WhatsApp