
Dentist Invents Simple Device to Detect Early Cavities
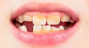
When cavities appear on the visible surfaces of teeth, they are relatively easy for dentists to spot. But for cavities between teeth, especially in the

When cavities appear on the visible surfaces of teeth, they are relatively easy for dentists to spot. But for cavities between teeth, especially in the

EuroPerio11 was a milestone event for the European Federation of Periodontology (EFP) and for the scientific organisation’s new president. Since being appointed to the role

Planet DDS, a leading provider of cloud-based, enterprise-grade dental software solutions, today announced Planet DDS Pay, a fully integrated payment processing solution designed to streamline

Hudson Cloud Systems today announced the successful integration of Jazz Imaging’s digital sensors with its cloud portal solution, providing dental schools with a seamless, reliable

Dentistry.One, the virtual-first dental care solution from MouthWatch, Inc., has achieved DiMe Certification, becoming the first and only teledentistry company to receive this distinction from

Zentist, a leading provider of cloud-based dental insurance revenue cycle management (RCM) software for dental support organizations (DSOs), is proud to announce its first successful

Dental insurance helps individuals and families manage the cost of oral healthcare, including preventive care, restorative treatments, and emergency procedures. Many people wonder whether they

Dental health is a critical component of overall wellbeing, yet many Americans face challenges accessing affordable dental care. One common question is whether it’s possible

Dental emergencies often require prompt treatment, yet many individuals discover their dental insurance imposes waiting periods that delay coverage. This creates a critical need for

Dental health is a critical component of overall well-being, yet many individuals wonder whether they can obtain dental insurance without having medical insurance. The short

The question of whether self-employed individuals can deduct dental insurance premiums is an important consideration for financial planning. The Internal Revenue Service (IRS) does allow

Dental insurance is a crucial component of overall healthcare, helping individuals manage the costs of routine check-ups, cleanings, and major dental procedures. However, many people