
Indian Scientists Develop CalBots, Mini Magnetically Controlled Robots to Solve Tooth Sensitivity
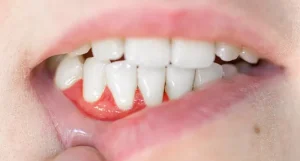
If you experience intense tooth pain after taking a sip of cold water or eating a bite of ice cream, don’t worry—you’re not alone. Millions

If you experience intense tooth pain after taking a sip of cold water or eating a bite of ice cream, don’t worry—you’re not alone. Millions

Blindly following medical “home remedies” on social media can have serious consequences. Dr. Chris Freeman of the Freeman Orthodontics Clinic recently warned that some popular

Vasa Denticity, a leading dental products company and parent company of the Dentalkart platform, announced the completion of its strategic acquisition of a 51% stake

Amidst the reality of scarce medical resources and the difficulty many people face in accessing or affording healthcare, the nonprofit organization Remote Area Medical (RAM)

Ms. NTT, who lives in Nha Be District, Ho Chi Minh City, went to VL Dental Clinic on Dien Bien Phu Street for a dental

In an age where first impressions are crucial and perfection is the norm, the world’s wealthy are increasingly focused on their appearance. From manicures to

Growing up in the suburbs of Melbourne, I was an adventurous child, often getting into dangerous situations. At the age of ten, I slipped and

Sitting in the dentist’s chair, my lips still anesthetized, I looked into the mirror and nearly collapsed. Gone were my once healthy, white teeth, replaced

In July 2025, the Japanese Dental Psychologists Association (represented by Satomi Ogihara) successfully held a dental psychology and customer service seminar at Shiho Dental Hospital

Many people mistakenly believe that losing teeth as they age is a natural process. But dental experts emphasize that tooth loss is not an inevitable

Located in the heart of Tseung Kwan O, Lares Dental announced today that it has expanded its comprehensive service offerings to become the most innovative

Pulpdent Corporation is proud to announce the latest addition to its iconic ACTIVA family, ACTIVA BioACTIVE Bulk Flow. This revolutionary dental restorative material advances the