Unused Dental Chair Sparks Inclusive Clinic at Cleveland Juvenile Detention Center
An unused dental chair at the Cuyahoga County Juvenile Detention Center sat wrapped in plastic for over a decade, serving as a reminder of untapped
An unused dental chair at the Cuyahoga County Juvenile Detention Center sat wrapped in plastic for over a decade, serving as a reminder of untapped

A tooth abscess is a painful and serious dental condition that occurs when there is an infection at the root of a tooth or in

Linda Colla’s story is a stark example of the state of dental care in the UK. For seven years, she struggled to find an NHS

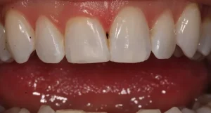
Neville Dental Studio, a leading dental care provider in Bowling Green, KY, has earned the prestigious recognition as a 2025 Top Patient-Rated Dentist from Find

February marks National Children’s Dental Health Month, an important time to raise awareness about good oral hygiene practices for children. This initiative focuses on educating

A disturbing map released today highlights the severe dental health crisis affecting children across the UK, with some areas showing that more than half of

Recent figures reveal concerning trends in oral health among five-year-olds in England, particularly in the North East, London, and the South West, where the proportion

United Concordia Dental has made a generous $100,000 donation to support the operations of the Children’s Dental Clinic at the William D. Kelley School in

Dental cleanings are a fundamental part of maintaining good oral health, yet many people wonder whether these routine procedures are covered by dental insurance. Regular

Dr. Bruce Dye, a dentist and epidemiologist, discusses the significant role fluoride has played in the reduction of tooth decay and the broader public health
Access to dental care remains a significant challenge for many adults in Northern Arizona, especially for those with limited income, inadequate insurance, or no access
Dr. Davina Prida has always had a deep passion for design, an interest that originally led her to pursue a career in design in New