
How Long Does a Tooth Extraction Take?
Tooth extraction is a common dental procedure that many people may need at some point in their lives. The reasons for extraction can vary widely,

Tooth extraction is a common dental procedure that many people may need at some point in their lives. The reasons for extraction can vary widely,

Tooth extraction is a common dental procedure that may be necessary for various reasons, including severe decay, gum disease, or overcrowding. While it is a

Tooth extraction is a common dental procedure that many patients may face at some point in their lives. Whether due to decay, infection, or overcrowding,

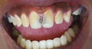
The thought of removing a rotten tooth at home can be daunting for many individuals. Tooth decay can lead to discomfort, pain, and infection, making

Becky Carroll’s dental journey reflects a troubling trend in the dental industry, particularly regarding the rise of dental implants and the practices surrounding them. After

Tooth extractions are a common dental procedure that may be necessary for various reasons. Whether due to decay, overcrowding, or other dental issues, understanding the

October 30, 2024. Royal Philips (NYSE: PHG, AEX: PHIA), a leading name in health technology, has announced a strategic multi-year partnership with Aspen Dental, the

When it comes to dental health, two specialties often come into play: periodontics and oral surgery. Patients may find themselves wondering which specialist is better

Tooth extraction is a common dental procedure that many people face at some point in their lives. Whether due to decay, infection, or overcrowding, the

For many, rinsing the mouth after brushing teeth is a long-standing habit formed in childhood. Like many, I used to rinse vigorously to eliminate the

Dental aesthetics play a crucial role in our overall appearance and self-confidence. One common concern among individuals is the presence of gap teeth, which can

A broken tooth can be a significant concern for many individuals. It may cause pain, discomfort, and anxiety about dental health and appearance. One of