
Why Do Dentists Drill Before Filling?
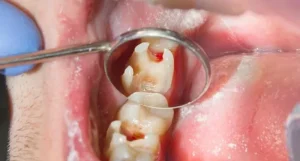
Many people feel nervous when they hear the sound of the dental drill. It is one of the most common tools used in dentistry. But

Many people feel nervous when they hear the sound of the dental drill. It is one of the most common tools used in dentistry. But

When it comes to fixing a damaged tooth, dentists often suggest a crown or a filling. Both treatments help protect your teeth and keep your

Teeth fillings are a common dental procedure to restore a tooth that has been damaged by decay or injury. In South Africa, the cost of

When you experience a toothache or have a cavity, it can be frustrating and painful. Sometimes, you may not be able to get an immediate

Wisdom teeth removal is a common dental procedure, but many patients experience the uncomfortable sensation of a dry mouth afterward. Understanding the reasons behind this

Teeth fillings are used to repair cavities and damage caused by tooth decay. They help restore the function and shape of your tooth. Dentists use

U.S. Surgeon General Robert F. Kennedy Jr. declared on Tuesday that “sugar is poisonous” in his latest push for the “Make America Healthy Again” campaign.

Dental fillings are a common solution to restore teeth that have been damaged by decay. However, there are certain circumstances in which a tooth cannot

Silver fillings are also called amalgam fillings. Dentists have used them for over 150 years. These fillings are made from a mix of metals. They

Discovering a hole in your tooth can be a worrying experience, and an unpleasant smell coming from it only adds to the concern. This article

Sugar is everywhere in our diet, from the obvious candies and sodas to the hidden sugars in bread, cereals, and even some fruits. But have

A student has been awarded £20,000 after having the wrong tooth removed at the age of 13 due to an administrative error. Courtney Monksfield, now