
What Do the Beginning of Cavities Look Like
Cavities, also known as dental caries or tooth decay, are one of the most common dental issues affecting people of all ages. They begin as

Cavities, also known as dental caries or tooth decay, are one of the most common dental issues affecting people of all ages. They begin as

Cavities, or dental caries, are one of the most common dental issues affecting people of all ages. They occur when the hard surface of the

Dental cavities, also known as caries, are one of the most common dental issues worldwide. They begin as small, localized areas of decay on the

In early December, Dr. Michal Herman, a seasoned dentist with over 25 years of experience, received an email that echoed a troubling pattern in her

Cavities, also known as dental caries or tooth decay, are one of the most common dental issues affecting people of all ages. They occur when

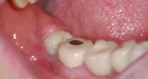
Dental caries, also known as tooth decay, progresses gradually in distinct stages. Initially, the decay affects the enamel, creating a chalky white appearance. At this

Recent findings from the India Dental Report 2024, released by scanO, a leading AI-powered dental platform, paint a troubling picture of the country’s oral health.

Migraines are a complex neurological condition that affects millions of people worldwide. Characterized by severe headaches, nausea, and sensitivity to light and sound, migraines can

If you’ve noticed your gums feeling tender or bleeding while brushing, hormonal fluctuations might be to blame, especially for women. As women go through life,

Cavities, also known as dental caries or tooth decay, are one of the most common dental problems affecting people of all ages. Despite their prevalence,

As many embrace healthier lifestyles and set new fitness goals this January, MySweetSmile is helping customers achieve brighter, whiter smiles with an array of affordable

January is the perfect time to kick-start new routines, and for many, that includes achieving a bright, white smile. As we step into 2025, MySweetSmile