
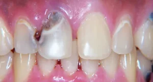
Alarm Raised as 20% of Young Children Suffer from Tooth Decay
Recent statistics reveal a troubling dental health issue, with one in five children under the age of six experiencing tooth decay. This concerning data was

Recent statistics reveal a troubling dental health issue, with one in five children under the age of six experiencing tooth decay. This concerning data was

Gummy vitamins and supplements have surged in popularity, appearing everywhere from grocery stores to pharmacies. While these chewy treats offer a convenient way to consume

When it comes to dental health, one of the common questions patients ask is, “How long should a filling last?” Fillings are essential in restoring

A local dental practice’s abrupt closure has left patients grappling with severe pain and uncertainty. Brunswick Place Dental in Southampton recently posted an unexpected notice

Ignoring, neglecting, and even abusing our teeth can lead to irreversible damage, unlike a broken bone that heals over time. To uncover the essential dental

When considering the costs associated with dental care, it is essential to have a clear understanding of the expenses involved, especially when it comes to

If you’re facing the need for dental fillings, you may be wondering, “How much does 5 fillings cost?” Understanding the potential expenses involved is crucial

Experiencing a toothache at night can be particularly distressing. When the pain strikes, it can interrupt your sleep and cause significant discomfort. This article will

Following the American Dental Association’s (ADA) recommendation to brush teeth twice a day may offer more than just protection against cavities and decay—it could also

Tooth pain can be a significant concern and may prompt the consideration of extraction. Understanding whether it’s feasible and advisable to have a tooth extracted

Dental fillings are a standard procedure used to restore teeth damaged by decay or trauma. They help to fill cavities and restore the tooth’s function

Tooth pain after a filling can be concerning and raise questions about how long it will last. The title “How Long Can Tooth Pain Last