Is Your Toothpaste Harming Your Patients’ Restorations?
Main Content A recent study evaluated the effects of different types of toothpaste on the surface wear of dental substrates and restorative materials, shedding light
Main Content A recent study evaluated the effects of different types of toothpaste on the surface wear of dental substrates and restorative materials, shedding light
Main Content GV Black Classification: Understanding the Foundations of Cavity Classification In dentistry, understanding the types of dental caries (cavities) is crucial for accurate diagnosis
Main Content Abstract This article tells us about the different types of mouthwashes and the importance of it in day to day life. It imparts

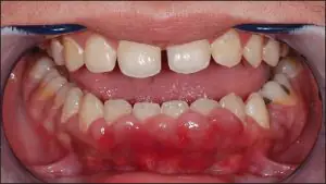
The gingival and associated soft tissue surrounding teeth may be enlarged in response to various interactions between the host and the environment. In rare cases,
Main Content Dentists may encounter patients with various types of bleeding disorders in their day-to-day practice. Initial recognition of such bleeding disorders and their possible
Main Content The researchers found that dry heat treatment of the N95 mask can kill four types of virus, including the coronavirus. Thus, after processing,

Main Content YOUR GO-TO GUIDE FOR CEMENTATION OF ALL TYPES OF PROSTHESIS (Part 2)In part 1 of this guide, we read about which cement to

Main Content As we prepare to return to our practices, it is essential to know about different types of masks and respirator options available and