
Summer Wisdom Teeth Removal: A Teen’s Guide to Smooth Recovery
Summer is often a peak season for wisdom tooth removal, especially for teenagers. For many young people, this may be their first experience of surgery

Summer is often a peak season for wisdom tooth removal, especially for teenagers. For many young people, this may be their first experience of surgery

Located in the heart of Tseung Kwan O, Lares Dental announced today that it has expanded its comprehensive service offerings to become the most innovative

For many people, a dental visit is a stressful and anxious experience. But at Deakin Dental in Canberra, Chief Dentist Dr. Disha Karmas Naik and

Is wisdom tooth pain keeping you up at night? Don’t suffer anymore! The professional team at Molson Dental Clinic provides you with a comprehensive diagnosis

Satnick Emergency Dentistry, a trusted emergency dental office in Ventura, CA, now offers same-day emergency tooth extractions for patients experiencing severe toothaches or dental trauma.

As a dentist, you need to check for cavities, tooth infections, and gum disease. You are taught to listen to your patients’ complaints, but when

A woman was left in agony by her wisdom tooth removal but her dentist ignored her as she “struggled” in pain. The operation caused her

Wisdom teeth removal is a common dental procedure, but many patients experience the uncomfortable sensation of a dry mouth afterward. Understanding the reasons behind this

“Toothache is worse than a serious illness”! If you don’t pay attention to diet and oral hygiene for a long time, you are prone to

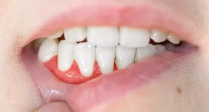
A healthy wisdom tooth socket is an important aspect of oral health. When a wisdom tooth is properly extracted or naturally erupts, the surrounding socket

Millions of people have one or more wisdom teeth (also called third molars) removed by dentists or oral surgeons each year, and opioids were once

Apical cysts are formed when bacteria invade the pulp cavity, causing infection of the tissues around the root apex, like an unexploded bomb in the