The fitness of our tooth relies upon now no longer best at the seen tooth and gums however additionally on deeper structures—maximum notably, the alveolar bone. This bony ridge withinside the jaws anchors the tooth in region and enables keep oral characteristic and stability. Understanding what incorporates a wholesome alveolar bone stage is essential for dental professionals, excessive sports activities athletes at risk of oral injury, and every body invested in preserving long-time period dental fitness.
What Is the Alveolar Bone?
The alveolar bone is the enamel-bearing a part of the jawbone. It includes the alveolar process, which homes the sockets (alveoli) that assist the roots of tooth. The shape of the alveolar bone is made from key styles of bone:
- Cancellous (Trabecular) Bone: The internal layer full of small spaces, presenting a few flexibility and assisting blood supply.
- Cortical Bone: The dense outer layer that offers the bone tension and strength.
This aggregate permits the alveolar bone to preserve the pressures of chewing and biting with out being too brittle or too soft.
Anatomy of Healthy Alveolar Bone
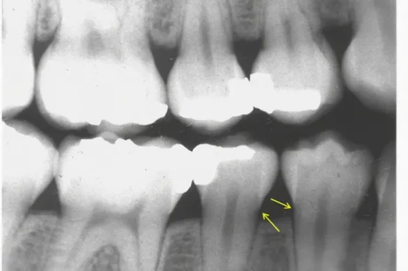
In a wholesome mouth, the alveolar bone surrounds every enamel root closely. Closest to the crown of the enamel (the seen part), the bone paperwork the alveolar crest. This crest follows the curve of the adjacent tooth and sits simply below the gum line. It is included through a thin, however dense, layer of cortical bone referred to as the lamina dura—a radiographically seen signal of fitness.
The periodontal ligament, a specialised connective tissue shape, attaches the enamel to the bone. This ligament acts as a cushion, soaking up forces and protective the bone and enamel at some stage in useful movement.
What Is a Healthy Alveolar Bone Level?
A wholesome alveolar bone stage refers to the location of the bone with regards to the cementoenamel junction (CEJ) of a enamel, that is wherein the tooth masking the crown meets the cementum of the root. Generally, the pinnacle of the alveolar crest lies among zero.five to 2.zero millimeters underneath the CEJ in a wholesome adult.
This distance may be encouraged through numerous factors:
- Individual dental anatomy
- Age
- Tooth position
- Natural variation
However, measurements extensively extra than this variety might also additionally suggest bone loss, regularly because of gum disorder (periodontitis) or different pathological changes.
The Role of Radiographic Assessment
Radiographs (dental X-rays) are the maximum correct and dependable technique to assess alveolar bone levels. On an X-ray, the wholesome alveolar crest seems as a radiopaque (white) line simply beneathneath the gum margin, following the contour of the 2 adjoining tooth.
When assessing for periodontal disorder or monitoring oral fitness over time, dentists regularly use the subsequent steps:
- Measure the gap from the CEJ to the crest of the alveolar bone.
- Compare this to the usual wholesome value (zero.five-2.zero mm underneath the CEJ).
- Identify patterns (e.g., whether or not bone loss is generalized or localized to precise tooth).
A thick, non-stop lamina dura and an intact periodontal ligament area also are key symptoms and symptoms of fitness.
Why Is Alveolar Bone Level So Important?
The alveolar bone offers anchorage for enamel. If the bone degree drops, enamel can emerge as loose, shift, or maybe fall out. For intense sports activities athletes, damage to the jaw might also additionally reason fractures or bone loss, underlining the want for each ordinary dental exams and defensive gear.
When the alveolar bone is healthful:
- Teeth are strong and capable of characteristic effectively.
- The gums suit snugly across the enamel, decreasing the danger of wallet wherein micro organism can gather.
- Bone acts as a protection barrier in opposition to contamination and trauma.
Loss of alveolar bone can end result in:
- Increased teeth mobility
- Gum recession
- Changes in look of the smile
- Increased danger for extra extreme oral and widespread fitness issues
Factors Affecting Alveolar Bone Health
Several elements have an impact on whether or not alveolar bone continues its most effective top or starts offevolved to deteriorate:
Oral Hygiene
Good oral hygiene is essential. Plaque and tartar buildup can cause inflammation (gingivitis) and, if unchecked, development to periodontitis—which reasons bone destruction.
Genetics
Some people might also additionally have a genetic predisposition to gum sickness and bone loss, regardless of exact oral hygiene.
Trauma and Occlusal Forces
Excessive forces from behavior like enamel grinding (bruxism), orthodontic movement, or acute trauma (as visible in touch sports activities) also can cause modifications in bone structure.
Systemic Health
Diseases which include diabetes, osteoporosis, or immune issues can compromise bone fitness and repair.
Age
Natural bone reworking slows with age. This might also additionally barely modify bone ranges however must now no longer cause considerable loss if fitness is maintained.
Assessing Alveolar Bone Level: Clinical and Radiographic Methods
Dental experts depend on each visible exam and radiographs to evaluate bone degree.
Clinical Inspection
Dentists look into gum contours and probe the intensity among gum and teeth with a periodontal probe. Shallow wallet (normally much less than 3mm) imply healthful gums and bone.
Radiographic Examination
Standard periapical or bitewing radiographs offer a clean view of the connection among the alveolar crest and the CEJ. The maximum normally used approach includes measuring the space among those landmarks.
Advanced virtual imaging lets in for unique millimeter measurements and monitoring modifications over time.
Calculation Principles
The regular healthful bone crest must be among zero.five–2.0mm from the CEJ. To degree the severity of bone loss:
- Subtract the healthful value (as much as 2mm) from the CEJ-to-root apex dimension to estimate anticipated bone top.
- Measure contemporary bone top from the equal reference points.
- The distinction suggests bone loss, which also can be expressed as a percent to assist classify sickness progression.
- For example, 33% is taken into consideration severe.
Alveolar Bone Level and Extreme Sports
People taking part in excessive sports activities are at better threat for dental trauma. Blows to the face can cause fractures of the bone or maybe avulsion (loss) of tooth. For athletes, everyday tracking with the aid of using dental specialists is key. Custom mouthguards can assist save you injury, at the same time as early intervention can reduce bone loss if trauma does occur.
Maintaining Healthy Alveolar Bone
To guard and hold alveolar bone levels:
- Practice powerful day by day brushing and flossing
- Undergo expert dental cleanings and checkups
- Avoid tobacco use
- Wear defensive equipment throughout touch or excessive sports activities
- Manage any fitness situations that could have an effect on bone integrity
Early detection and control of bone loss can dramatically enhance results and assist maintain herbal tooth for life.
Conclusion
A healthful alveolar bone degree is vital to the support, function, and durability of tooth. Regular dental assessments, proper oral hygiene, and recognition of threat elements all play a component in retaining this important structure. Both dental specialists and sufferers must recognize what defines healthful bone and take steps to save you sickness and injury.
FAQs
What is the regular distance from the CEJ to the alveolar crest?
In healthful adults, that is commonly among zero.five and 2.zero millimeters.
How is bone loss measured on dental X-rays?
Dentists degree the vertical distance from the CEJ to the alveolar bone crest on radiographs. Increased distances suggest bone loss.
Why does bone loss occur?
Causes consist of periodontal sickness, trauma, genetic elements, scientific situations, and age-associated changes.
Can misplaced alveolar bone be regenerated?
Some bone loss can be controlled or repaired with regenerative therapies, however prevention stays the fine approach.
How can I guard my alveolar bone if I do excessive sports activities?
Regular dental check-ups and custom-equipped mouthguards are vital to save you and reply to dental injuries.

