/
/
What Is Considered Severe Periodontal Disease?

What Is Considered Severe Periodontal Disease?

Periodontal disease, commonly known as gum disease, is a chronic infection of the gums and tissues that support your teeth. It is a serious condition that can lead to tooth loss if left untreated. Periodontal disease is divided into stages, ranging from mild gingivitis to severe periodontal disease. Severe periodontal disease is the most advanced form, and it requires immediate professional treatment. This article will explain what severe periodontal disease is, how it develops, its symptoms, and why it’s crucial to seek treatment.

What Is Periodontal Disease?

Periodontal disease refers to infections and inflammation of the gums and structures that support the teeth, including the bone. It begins with the accumulation of plaque—a sticky film of bacteria that forms on your teeth—leading to gingivitis, the earliest stage of gum disease. If gingivitis is not treated, it can progress to periodontitis, which is a more serious stage.

When periodontitis becomes severe, it is called severe periodontal disease.

Stages of Periodontal Disease

Gingivitis: The earliest stage of gum disease. It causes inflammation and irritation of the gums but does not yet affect the bone or tissues that support your teeth. Gingivitis can usually be reversed with good oral hygiene.

Mild to Moderate Periodontitis: At this stage, the infection spreads deeper into the gums, and the supporting structures of the teeth start to weaken. Pockets form between the gums and teeth, where bacteria can thrive, leading to bone loss.

Severe Periodontal Disease: The final and most serious stage of gum disease, severe periodontal disease involves significant damage to the bone that supports the teeth. Pockets between the gums and teeth deepen, and there is a considerable loss of tooth-supporting tissue.

Teeth may become loose, and tooth loss may occur.

What Happens in Severe Periodontal Disease?

Severe periodontal disease occurs when bacteria in plaque and tartar begin to infect the deeper tissues of the gums. Over time, this infection leads to the breakdown of the bone and tissue that hold your teeth in place. As the disease progresses, pockets form between the teeth and gums. These pockets deepen, and more bacteria can accumulate, leading to further damage to the bone and teeth.

Bone Loss

One of the hallmark features of severe periodontal disease is significant bone loss. The bacteria in the deep gum pockets begin to attack the bone supporting the teeth, weakening it. This can result in tooth mobility, meaning the teeth may become loose or shift position.

If not treated, the bone may continue to deteriorate, leading to tooth loss.

Pockets Between Gums and Teeth

As periodontal disease becomes more severe, the gums pull away from the teeth, forming pockets that can be several millimeters deep.

The deeper the pockets, the more difficult it is to remove the bacteria and plaque that cause the disease. These pockets are a key indicator of severe periodontal disease and are a sign that the disease has progressed beyond the early stages.

Symptoms of Severe Periodontal Disease

The symptoms of severe periodontal disease can vary, but they generally include:

Bleeding Gums: Gums that bleed easily when brushing or flossing are often an early sign of gum disease. In severe periodontal disease, bleeding can become more frequent and severe.

Receding Gums: The gums may pull away from the teeth, creating visible pockets between the teeth and gums. This receding of the gums exposes more of the tooth surface and can result in sensitivity.

Tooth Mobility: As the bone supporting the teeth is damaged, teeth may begin to loosen or shift. This can affect the ability to bite or chew properly.

Persistent Bad Breath: An unpleasant odor in the mouth, often described as bad breath or halitosis, is a common symptom of severe gum disease. The bacteria present in deep gum pockets produce sulfur compounds that cause bad breath.

Painful Chewing: With severe periodontal disease, chewing can become painful due to the damage to the teeth and gums.

Gum Abscesses: In severe cases, pus-filled abscesses may form on the gums. This is a sign of active infection and requires immediate attention from a dentist or periodontist.

Shifting Teeth: As the teeth lose support from the bone, they may start to shift out of place. This can affect your bite and the overall appearance of your smile.

Causes of Severe Periodontal Disease

The primary cause of severe periodontal disease is the buildup of plaque and tartar on the teeth. Plaque contains bacteria that irritate and infect the gums, leading to gingivitis. If gingivitis is not treated, the infection can spread deeper into the gums and bones, progressing to severe periodontal disease.

Several factors can increase the risk of developing severe periodontal disease, including:

Poor Oral Hygiene

Inadequate brushing and flossing allow plaque to build up on the teeth, which leads to gum infection and bone loss. Poor oral hygiene habits are the leading cause of periodontal disease.

Smoking and Tobacco Use

Smoking is a significant risk factor for severe periodontal disease. It weakens the immune system, making it harder for the body to fight infections. Smokers are also more likely to experience gum recession and bone loss.

Genetics

Some people may be more prone to periodontal disease due to genetic factors. If you have a family history of gum disease, you may be at a higher risk.

Diabetes

People with diabetes, particularly those with uncontrolled blood sugar levels, are more likely to develop severe periodontal disease. High blood sugar can make it easier for infections to develop and harder for the body to heal.

Hormonal Changes

Pregnancy, menopause, and other hormonal changes can increase the risk of developing gum disease. Hormonal fluctuations can make the gums more sensitive to the effects of plaque and bacteria.

Medications

Certain medications, including those that cause dry mouth or affect the immune system, can increase the risk of periodontal disease. A dry mouth reduces saliva flow, which is essential for rinsing away bacteria and plaque.

Poor Nutrition

A poor diet, especially one lacking in essential vitamins and minerals, can weaken the immune system and make it harder for the body to fight off gum infections. Vitamin C deficiency, for example, is known to increase the risk of gum disease.

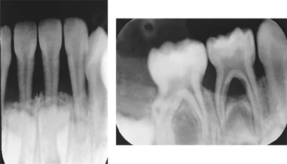
How Severe Periodontal Disease is Diagnosed

Diagnosing severe periodontal disease typically involves a thorough examination by a dentist or periodontist. The dentist will check for signs of gum recession, bleeding, and other symptoms of gum disease. They may also measure the depth of the gum pockets using a special tool called a periodontal probe.

X-rays may be taken to assess the extent of bone loss around the teeth. If there is significant bone destruction, it is an indication that the disease has progressed to a severe stage.

Treatment Options for Severe Periodontal Disease

Treating severe periodontal disease requires professional intervention.

The treatment options depend on the severity of the disease and may include:

Scaling and Root Planing: This deep cleaning procedure involves removing plaque and tartar from below the gum line and smoothing the root surfaces to help the gums reattach to the teeth. Scaling and root planing is often used for patients with moderate to severe gum disease.

Surgical Procedures: In more advanced cases, surgery may be needed to reduce deep gum pockets or regenerate lost bone.

Procedures such as flap surgery or bone grafting can help restore the supportive structures of the teeth.

Antibiotics: In some cases, antibiotics may be prescribed to control infection. These may be taken orally or applied directly to the gum pockets.

Laser Therapy: Laser therapy can be used to remove infected tissue and promote healing. It is a minimally invasive option for some patients with severe periodontal disease.

Preventing Severe Periodontal Disease

Preventing severe periodontal disease is possible with good oral hygiene and regular dental checkups. Here are some steps you can take to prevent gum disease:

Brush your teeth twice a day with fluoride toothpaste.

Floss daily to remove plaque and food particles between your teeth.

Visit your dentist regularly for cleanings and checkups.

Quit smoking to reduce your risk of gum disease.

Maintain a healthy diet rich in vitamins and minerals, particularly vitamin C.

Control underlying health conditions like diabetes to reduce your risk of gum disease.

Conclusion

Severe periodontal disease is a serious condition that can result in tooth loss if left untreated. It occurs when gum disease progresses to the point where it causes significant damage to the teeth, gums, and supporting bone. If you experience symptoms like bleeding gums, tooth mobility, or persistent bad breath, it’s important to seek professional treatment immediately. Early intervention can help prevent further damage and restore your oral health.

WhatsApp