/
/
What Is the Difference Between Periapical and Bitewing

What Is the Difference Between Periapical and Bitewing

Dental X-rays are vital diagnostic gear that assist dentists examine oral fitness past what’s seen throughout a medical exam. Two of the maximum not unusualplace intraoral X-rays are periapical (PA) and bitewing (BW) radiographs. Although each are used to visualise dental structures, they serve distinctive functions and provide precise benefits. Understanding their variations is important for sufferers and dental specialists who need the quality diagnostic outcomes.

What Are Periapical X-Rays?

Periapical X-rays attention at the whole teeth, from the crown to the end of the foundation and the encompassing bone. These movies seize the overall duration of a teeth to display its circumstance under the gumline. Dentists frequently use periapical X-rays to come across troubles along with teeth root infections, abscesses, cysts, impacted tooth, and adjustments withinside the bone that guide the tooth.

Periapical movies are specifically beneficial for diagnosing issues related to the foundation part of the teeth and the bone. Because those pics expand beyond the ends of the teeth roots, they could screen situations now no longer seen at the surface, giving specialists a greater whole know-how of teeth and bone fitness.

What Are Bitewing X-Rays?

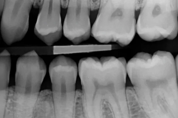
Bitewing X-rays, on the alternative hand, are designed to reveal the top and decrease tooth in a single location of the mouth—from the crown to approximately the extent of the assisting bone. Patients chew down on a wing-fashioned holder, permitting the X-ray to seize the crowns of each the top and decrease tooth simultaneously. This setup makes bitewing movies particularly green for detecting dental caries (cavities) among tooth and comparing the peak of the bone among tooth.

Bitewing X-rays are taken into consideration the gold general for assessing interproximal decay—the type of cavities that increase among adjoining tooth and are tough to come across visually. They also are treasured for tracking adjustments withinside the bone tiers that would suggest gum ailment progression.

Key Differences Between Periapical and Bitewing X-Rays

Scope of Diagnostic Area

Periapical X-rays offer a complete view of a unmarried teeth, along with its root and the adjoining bone. They are perfect for checking the general fitness of the whole teeth structure. In contrast, bitewing X-rays attention best at the crowns of the top and decrease tooth, commonly in a unmarried location or phase of the mouth.

Clinical Use Cases

Periapical pics are favored whilst issues are suspected withinside the root or the assisting bone—along with root canal infections, abscesses, or worrying injuries. They assist dentists have a look at dental roots and diagnose deeper troubles.

Bitewing X-rays are the go-to desire for detecting cavities among tooth and for habitual tracking of gum and bone fitness. Dentists use bitewings to identify early symptoms and symptoms of deterioration and periodontal ailment in places now no longer seen throughout a general oral exam.

Image Readability

Studies evaluating periapical and bitewing radiographs have discovered variations in how effortlessly every movie kind may be interpreted. Bitewing X-rays frequently offer higher readings for the crowns and the bone degrees close to the enamel however can be more difficult to examine in areas like canine and positive premolars. Periapical X-rays can be more difficult to interpret on the very again enamel, inclusive of the distal surfaces of 2d molars. Each kind has positive anatomical boundaries that dental experts have to take into account whilst making an evaluation.

Bone Loss Assessment

When used to assess bone loss round enamel, periapical and bitewing radiographs can occasionally be used interchangeably. Research has proven that bitewing movies would possibly report barely large bone loss measurements withinside the maxilla (higher jaw), whilst periapical movies may also achieve this withinside the mandible (decrease jaw). However, each sorts are reliable, with excessive settlement in lots of cases. Dentists may also pick among the 2 primarily based totally on which vicinity of the mouth is being tested and the affected person’s unique needs.

Technical Aspects

Periapical X-rays typically require positioning the movie or sensor deep in the mouth, parallel to the enamel and secured in region with a holder. This method permits complete imaging of the enamel root and close by structures.

Bitewing X-rays use a wing-formed holder that the affected person bites down on. This positions the movie or sensor to concurrently seize each the higher and decrease crowns, with out extending deep into the mouth. Patients usually locate bitewing X-rays extra cushty for this reason.

Advantages and Limitations

Advantages of Periapical X-Rays

  • Detect problems at the basis of the enamel
  • Aid in diagnosing bone adjustments and infections
  • Essential for root canal and endodontic procedures

Limitations of Periapical X-Rays

  • Can be uncomfortable for sufferers because of deep placement of the movie
  • Limited view of adjoining enamel
  • May now no longer seize cavities among again enamel as efficiently

Advantages of Bitewing X-Rays

  • Excellent for detecting cavities among enamel
  • Better evaluation of bone degrees for periodontal status
  • Greater affected person consolation throughout the procedure

Limitations of Bitewing X-Rays

  • Do now no longer screen the complete enamel root or surrounding bone
  • Less beneficial for diagnosing root-associated problems
  • May omit pathology under the crown

When Are Each Type of X-Ray Recommended?

Dentists decide whether or not a periapical or bitewing X-ray is suitable primarily based totally at the affected person’s history, symptoms, and the medical query at hand. If a affected person is experiencing deep enamel pain, swelling, or symptoms and symptoms of infection, a periapical X-ray is generally selected to analyze root and bone conditions. For habitual check-ups, bitewing X-rays are frequently desired to display growing cavities and tune bone degrees.

Routine person dental assessments usually encompass bitewing X-rays at normal intervals, whilst periapical X-rays are asked as a diagnostic device while there are symptoms and symptoms that warrant a extra thorough research of the enamel’s roots and assisting structures.

Recent Research: Performance in Clinical Studies

Scientific research have in comparison the 2 varieties of radiographs for precise dental assessments, including comparing alveolar bone loss. Findings recommend that each periapical and bitewing X-rays are exceedingly powerful for this purpose. While minor variations in clarity and dimension accuracy exist, especially in sure enamel and jaw regions, the bulk of readings are steady among the 2 methods. This settlement permits for a few flexibility in selecting the proper X-ray primarily based totally on affected person consolation and the medical want.

Conclusion

Periapical and bitewing X-rays are each important gear in present day dentistry. While they range of their vicinity of recognition, technique, and precise diagnostic strengths, they supplement every different in complete dental care. Dentists use their judgment and the affected person’s desires to determine which sort of radiograph will offer the maximum treasured data. Understanding the specific traits of every kind guarantees correct diagnosis, higher remedy planning, and most reliable oral fitness outcomes.

Frequently Asked Questions (FAQs)

What is the principle distinction among periapical and bitewing X-rays?

Periapical X-rays display the complete enamel and root, whilst bitewing X-rays recognition at the crowns of the higher and decrease enamel in a single vicinity.

Do each varieties of X-rays divulge me to the identical radiation?

Both periapical and bitewing X-rays use minimum quantities of radiation, and present day strategies maintain publicity very low for sufferers.

Which kind is extra snug for sufferers?

Most sufferers locate bitewing X-rays extra snug because the holder does now no longer want to head as deep withinside the mouth.

Can those X-rays be used to test for gum disease?

Yes. Both can assist determine bone loss because of gum disease, however bitewings are generally higher for tracking adjustments in bone peak over time.

Why could my dentist order each varieties of X-rays?

Using each kinds gives a fuller photograph of dental fitness, shooting data approximately the crowns, roots, and assisting bone across the enamel.

WhatsApp