Everyday oral hygiene is vital to preserving healthful tooth and gums. Even with conscientious care, many human beings increase tartar in some unspecified time in the future of their lives. Tartar, additionally called dental calculus, is a hardened deposit that bureaucracy while plaque – a tender, sticky movie of micro organism – isn’t eliminated from the tooth. Over time, tartar can threaten your dental fitness in severa ways. Understanding while to be worried approximately tartar and what steps to take can assist shield your smile and general well-being.
What Is Tartar?
Tartar bureaucracy as plaque builds up at the tooth and stays undisturbed via way of means of brushing and flossing. Plaque is the thin, tender movie that accumulates at some point of the day, specifically after food or snacks. When left unchecked, plaque will harden inside 24 to seventy two hours, reworking into tartar. Unlike plaque, tartar is a tough, calcified fabric that clings strongly to the enamel surface.
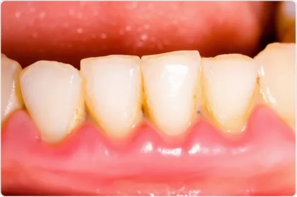
Tartar is maximum not unusualplace across the gum line, however it may shape everywhere plaque lingers. It generally seems as a yellow or brown deposit that makes tooth appearance grimy or stained. Because tartar is so hard, it can’t be eliminated via way of means of ordinary brushing or at-domestic dental care. Professional intervention is required.
The Dangers of Tartar Build-Up
The presence of tartar isn’t only a beauty issue. It represents a substantial fitness problem if left uncontrolled. Tartar traps micro organism at and underneath the gumline, fostering irritation and contamination. If tartar isn’t addressed quickly, it may result in severe oral fitness problems:
Gum Disease
Tartar irritates your gums via way of means of maintaining micro organism close, inflicting redness, swelling, and bleeding for the duration of brushing or flossing. This early stage, known as gingivitis, is reversible with treatment. However, if tartar stays, contamination can development to periodontitis, a severe, continual situation that could spoil gum tissue and bone assisting the tooth.
Tooth Decay
Bacteria in tartar produce acids once they digest sugars and starches for your food. These acids erode enamel enamel, main to cavities. Tooth decay threatens the shape of your tooth and, if left untreated, may also require fillings, crowns, or root canals.
Tooth Loss
Prolonged gum sickness because of tartar build-up can bring about the destruction of the bone that anchors your tooth. Eventually, tooth may also end up free and fall out or require extraction.
Bad Breath and Stained Teeth
Tartar absorbs stains without difficulty from tobacco, coffee, tea, and coloured foods. This reasons continual yellow or brown discoloration. The trapped micro organism additionally make contributions to continual terrible breath (halitosis).
When to Worry About Tartar
Not all tartar build-up indicators a dental emergency, however positive symptoms and symptoms imply you need to are seeking for expert assist as quickly as possible. Here’s while to be worried approximately tartar:
1. Visible Hard Deposits
You note hard, yellow, or brown deposits alongside your gumline or among tooth that can not be brushed away. This is tartar, now no longer simply everyday floor discoloration.
2. Gums That Are Red, Swollen, or Bleeding
If your gums bleed while you sweep or floss, or if they’re consistently crimson and swollen, tartar can be worrying and infecting the gum tissue.
3. Persistent Bad Breath
Regular domestic care does now no longer restore awful breath, indicating micro organism trapped underneath tartar are thriving and generating odor.
4. Tooth Sensitivity or Pain
If tooth emerge as touchy to hot, cold, or candy foods, or in case you enjoy pain, tartar can be contributing to cavities or gum recession.
5. Loose Teeth or Gum Recession
Advanced tartar build-up can also additionally cause gum recession or tooth that begin transferring or wiggling. This is an indication of widespread bone and gum harm.
Any any such signs and symptoms manner tartar has stepped forward and your oral fitness will be at chance. Immediate dental assessment is important to save you in addition harm.
How Is Tartar Removed?
Once tartar has formed, it can not be removed thru brushing or flossing alone. Do now no longer attempt volatile do-it-your self elimination strategies observed online, as they are able to harm your tooth and gums. Only skilled dental specialists have the equipment and competencies had to competently and efficiently do away with tartar.
Dental cleanings contain unique devices along with scalers and ultrasonic gadgets that split and do away with tartar deposits. The dentist or hygienist will polish your tooth afterwards, making it more difficult for brand new plaque to paste and assist your mouth sense easy and sparkling again.
Professional cleanings are endorsed as a minimum two times a yr for maximum adults, however your dentist can also additionally propose greater common visits in case you are liable to tartar build-up or have a records of gum disease.
Preventing Tartar Build-Up
Prevention is the high-quality method in opposition to tartar. Simple day by day conduct can appreciably lessen the chance:
Brush and Floss Thoroughly
Brush your tooth two times an afternoon for 2 mins with fluoride toothpaste. Be positive to attain all surfaces – front, back, and chewing sides. Flossing each day gets rid of plaque among tooth and below the gumline in which your brush can’t attain.
Rinse with Mouthwash
An antibacterial mouthwash can decrease micro organism degrees and make it more difficult for plaque to form. Consider a fluoride rinse for introduced tooth protection.
Eat a Healthy Diet
Limit your consumption of sugary and starchy foods. These feed the micro organism that reason plaque. Choose sparkling fruits, vegetables, lean protein, and drink lots of water to assist hold your mouth easy.
Regular Dental Check-Ups
See your dentist each six months, or as advised. Routine cleanings capture tartar early and assist save you greater severe problems.
Avoid Smoking
Tobacco use will increase tartar build-up and stains tooth, elevating your chance for gum disease, teeth loss, and oral cancer.
Conclusion
Tartar is extra than only a beauty concern – it’s far a hard, tenacious deposit that threatens dental and basic fitness if now no longer addressed. Early degrees are clean to miss, however as tartar builds, it may quick cause gum disease, teeth decay, teeth loss, and chronic horrific breath. Knowing the symptoms and symptoms and appearing quick while tartar buildup is suspected can keep your smile and save you painful complications.
The excellent protection is complete each day oral hygiene mixed with everyday expert dental visits. Don’t forget about seen deposits or signs and symptoms like swollen gums and chronic horrific breath. When in doubt, take a look at together along with your dentist for a radical assessment and cleaning.
Frequently Asked Questions
What Is the Difference Between Plaque and Tartar?
Plaque is a soft, sticky movie of micro organism that bureaucracy on teeth. Tartar is plaque that has hardened and might best be eliminated via way of means of a dental expert.
Can Tartar Be Removed at Home?
No, as soon as tartar has formed, best a dentist or dental hygienist can accurately get rid of it.
How Quickly Does Tartar Form?
Tartar can start to shape in as low as 24 to seventy two hours if plaque isn’t eliminated regularly.
What Happens If Tartar Is Left Untreated?
Untreated tartar results in gum disease, cavities, teeth loss, and chronic horrific breath.
How Often Should I Visit the Dentist to Prevent Tartar?
Most human beings gain from dental take a look at-ups each six months, however your dentist may also advocate extra common visits in case you are at better risk.

