Root canal treatment is a common dental procedure aimed at saving a severely damaged or infected tooth. It involves removing the infected pulp, cleaning and shaping the root canals, and filling them to prevent further infection. However, it can be quite concerning when you experience pain when biting down after this treatment. In this article, we’ll explore the various reasons behind this post – treatment pain and what can be done to find relief.?
Understanding Root Canal Treatment?
The Basics of Root Canal?
The inside of a tooth contains a soft tissue called pulp, which houses nerves and blood vessels. When a tooth is infected, usually due to deep decay or a crack, bacteria can invade the pulp. Root canal treatment aims to remove this infected pulp, clean the root canals (the narrow passageways within the tooth’s roots), and seal them off. By doing so, the treatment stops the infection from spreading and saves the tooth from extraction.?
How the Treatment Works?
Typically, root canal treatment is a multi – step process. First, the dentist numbs the area around the tooth. Then, they drill into the tooth to access the pulp chamber. The infected pulp is carefully removed, and the root canals are cleaned and shaped using special dental instruments. After that, the canals are filled with a biocompatible material, usually gutta – percha, to seal them and prevent bacteria from re – entering. In some cases, a temporary filling may be placed first, and the final filling is done in a subsequent visit.?
Reasons for Biting – Down Pain After Root Canal?
Normal Post – Treatment Inflammation?
Tissue Trauma During Treatment?
During root canal treatment, the dentist has to manipulate the dental instruments inside the tooth, which can cause some trauma to the surrounding tissues. The process of cleaning and shaping the root canals can irritate the periodontal ligament, which is the tissue that attaches the tooth to the jawbone. This irritation can lead to inflammation, and when you bite down, the pressure on the inflamed periodontal ligament can cause pain. The body’s natural response to this trauma is to send white blood cells to the area to start the healing process, and this can also contribute to the swelling and discomfort. For example, if the dentist has to use a lot of force to clean a particularly curved or narrow root canal, it can cause more significant trauma to the surrounding tissues.?
Chemical Irritation from Medications?
After cleaning the root canals, the dentist may use certain medications to disinfect the area. These medications, such as calcium hydroxide or sodium hypochlorite, are essential for killing any remaining bacteria. However, they can also be irritating to the tissues. If some of these medications leak out of the root canals and come into contact with the periodontal ligament or the surrounding bone, it can cause inflammation. When you bite down, the pressure on the irritated area can trigger pain. This type of pain is usually temporary and should subside as the body heals and the irritant is gradually cleared away.?
Treatment – Related Complications?
Incomplete Root Canal Treatment?
Residual Bacteria in the Canals?
One common reason for pain after a root canal is that the initial treatment may not have been completely successful. The root canal system is complex, with tiny branches and curves. Sometimes, the dental instruments used to clean the canals can’t reach every nook and cranny. Residual bacteria in these hard – to – reach areas can continue to cause inflammation. When you bite down, the pressure can exacerbate the infection and the associated pain. For instance, if there’s a small side branch in the root canal that was missed during the cleaning process, bacteria can multiply there, leading to an ongoing infection and discomfort when you chew.?
Inadequate Filling?
Another aspect of incomplete treatment is related to the filling of the root canals. If the filling material doesn’t reach all the way to the end of the canals (under – filling), there can be a space left for bacteria to enter again. This can lead to a new infection, and the resulting inflammation can cause pain when you bite down. On the other hand, if too much filling material is used and it extrudes beyond the tip of the root into the surrounding tissue (over – filling), it can irritate the tissue. The body’s immune response to this foreign material can cause discomfort, which is often felt more acutely when pressure is applied during biting.?
Tooth Fracture?
Fractures During Treatment?
During root canal treatment, the tooth becomes more brittle because it no longer has the pulp to provide nutrients and keep it strong. The process of drilling and shaping the canals can weaken the tooth structure. In some cases, the tooth may develop a crack during the treatment. This can happen if the dentist has to use a lot of force to clean the canals or if the tooth has pre – existing weaknesses. A small crack may not be immediately obvious, but when you bite down, the pressure can cause the crack to widen slightly, irritating the surrounding tissue and causing pain.?
Fractures After Treatment?
Even after the root canal is completed, the tooth is still at risk of fracture. If you bite down on something hard, like a nut or a piece of ice, it can cause the tooth to crack. The lack of pulp makes the tooth more vulnerable to such trauma. A fractured tooth can be very painful, especially when you chew, as the pieces of the tooth move against each other and put pressure on the sensitive tissues around the tooth.?
New Infections or Dental Issues?
Reinfection from the Mouth?
Even after a successful root canal, the tooth is still exposed to the oral environment. If the tooth is not properly sealed, bacteria from the mouth can find their way into the root canals and cause a new infection. This can happen if the filling material deteriorates over time or if there’s a small crack in the tooth. When you bite down, the pressure can push the bacteria deeper into the canals, leading to an increase in inflammation and pain. For example, if you have a habit of biting on hard objects that can cause tiny cracks in the tooth, these cracks can act as entry points for bacteria, which can then cause an infection and subsequent pain when you chew.?
Gum Disease or Periodontal Problems?
Gum disease, or periodontal disease, can also cause pain when biting down after a root canal. If the gums around the tooth become inflamed and infected, the inflammation can spread to the area around the tooth root. The gums may pull away from the tooth, forming pockets where bacteria can accumulate. When you bite down, the pressure on these infected gums and the affected tooth root can cause pain. Additionally, gum disease can lead to the loss of the supporting bone around the tooth, making the tooth more sensitive to pressure during biting.?
Diagnosis of Biting – Down Pain?
Dental Examination?
When you visit the dentist with pain when biting down after a root canal, the dentist will start with a thorough examination. They will look at the tooth, the gums, and the surrounding tissues. Using a dental mirror and probe, they can check for signs of cracks, gum disease, or other visible problems. They may also gently tap on the tooth to see if it causes pain, which can help determine if the root is affected. The dentist will also ask you about your symptoms, such as when the pain started, how severe it is, and if there are any specific foods or activities that make it worse.?
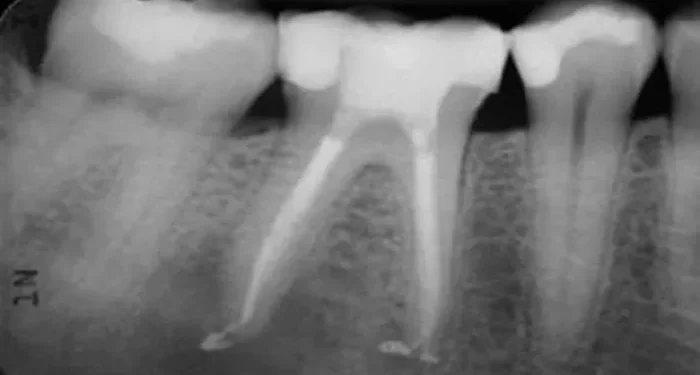
X – Rays?
X – rays are an essential tool for diagnosing the cause of the pain. They can show the dentist what’s going on inside the tooth and the surrounding bone. X – rays can reveal the presence of a crack in the root, an abscess at the root tip, or signs of bone loss due to periodontal disease. If there’s an abscess at the root tip, it will show up as a dark area on the X – ray. X – rays can also help the dentist see if the root canals were filled properly and if there are any signs of residual bacteria or infection.?
Bite Analysis?
The dentist may perform a bite analysis to check if your bite is properly aligned. If the tooth with the root canal is not in the correct position in your bite, it can bear more pressure than the other teeth when you chew. This can cause pain. The dentist may use a special paper called bite – registration paper. You will be asked to bite down on it, and the marks left on the paper will show the dentist if there are any areas of excessive pressure. If there are, the dentist can make adjustments to your bite to relieve the pressure on the painful tooth.?
Treatment Options?
Pain Relief Medications?
Over – the – counter painkillers like ibuprofen or acetaminophen can provide temporary relief from the pain. These medications work by reducing inflammation and blocking pain signals. In some cases, the dentist may prescribe stronger pain medications if the pain is severe. However, it’s important not to rely solely on painkillers. Finding and treating the underlying cause of the pain is crucial.?
Root Canal Retreatment?
If the pain is due to an incomplete root canal, such as residual bacteria or an improper filling, the dentist may need to re – open the tooth and re – do the root canal. This is called root canal retreatment. It involves removing the old filling, cleaning the root canals again, and placing a new filling. Root canal retreatment can be more complex than the initial treatment, but it can often resolve the pain.?
Tooth Restoration or Extraction
If the tooth has a fracture, the dentist will assess the extent of the damage. If the fracture is small, they may be able to repair it with a filling or a crown. A crown can help strengthen the tooth and prevent further cracking. However, if the fracture is severe and the tooth cannot be saved, extraction may be necessary. After extraction, you may consider options such as dental implants, bridges, or dentures to replace the missing tooth.?
Treatment for Gum Disease?
If the pain is due to gum disease, the dentist will focus on treating the gum problem. This may involve professional dental cleanings, scaling and root planing to remove plaque and tartar from below the gum line. In some cases, gum surgery may be necessary to repair the damaged gum tissue and reduce inflammation. Good oral hygiene, including regular brushing, flossing, and using an antibacterial mouthwash, is also important to prevent gum disease from getting worse.?
Conclusion?
Experiencing pain when biting down after a root canal can be concerning, but there are many possible reasons for it. Whether it’s due to normal post – treatment inflammation, treatment – related complications, new infections, or other dental issues, understanding the cause is key to finding a solution. By seeing your dentist promptly and following their recommended treatment, you can get your tooth back to a pain – free state and ensure its long – term health. Remember, taking care of your teeth and reporting any unusual symptoms to your dentist is essential for maintaining good oral health.?

