Experiencing pain at the root of a tooth can be a distressing and often puzzling experience. Unlike other types of toothaches, root pain can feel deep – seated and intense. Many people assume that all tooth pain is due to cavities, but the reality is that there are several reasons why your tooth might hurt at the root. In this article, we’ll explore these causes and what can be done to find relief.?
Anatomy of the Tooth Root?
Structure of the Root?
The tooth root is the part of the tooth that is hidden beneath the gum line. It anchors the tooth in the jawbone. At the center of the root is the root canal, which contains the pulp. The pulp has nerves, blood vessels, and connective tissue. Surrounding the root canal is dentin, a hard, calcified tissue. The outermost layer of the root is the cementum, which helps to attach the tooth to the periodontal ligament. The periodontal ligament is a group of fibers that connect the cementum to the alveolar bone in the jaw, providing support and stability to the tooth.?
Function of the Root?
The root plays a crucial role in keeping the tooth in place. It absorbs the forces of chewing and distributes them evenly to the jawbone. The nerves in the pulp of the root also provide sensory information, letting you know if there’s something wrong with the tooth, such as when it’s being damaged or infected.?
Causes of Root Pain?
Dental Infections?
Pulpitis?
Pulpitis is an inflammation of the pulp tissue inside the root canal. It can be caused by a deep cavity that allows bacteria to invade the pulp. When bacteria enter the pulp, they multiply and release toxins, which irritate the nerves. This irritation leads to pain. At first, the pain may be mild and only occur when you eat something hot or cold. But as the infection progresses, the pain can become more severe and constant. For example, if you have a large cavity that has been left untreated for a while, bacteria can slowly make their way through the enamel and dentin, eventually reaching the pulp and causing pulpitis.?
Abscesses?
An abscess is a pocket of pus that forms as a result of an infection. A periapical abscess occurs at the tip of the tooth root. This happens when the infection in the pulp spreads through the root canal and reaches the surrounding tissue. The body’s immune system tries to fight the infection, and in the process, white blood cells, dead tissue, and bacteria accumulate, forming an abscess. The pressure from the abscess can cause intense pain. You may also notice swelling in the gums around the affected tooth, and in some cases, the swelling can spread to the face. Another type is a periodontal abscess, which forms in the gum tissue next to the tooth root. This is usually due to a blockage in the periodontal pocket, where bacteria can multiply and cause an abscess.?
Gum and Periodontal Diseases?
Gingivitis?
Gingivitis is an early stage of gum disease. It’s caused by the build – up of plaque, a sticky film of bacteria, along the gum line. When plaque is not removed through proper brushing and flossing, it irritates the gums, causing them to become red, swollen, and tender. In some cases, the inflammation can spread to the area around the tooth root, leading to a dull ache or sensitivity. If you notice that your gums bleed easily when you brush or floss, it could be a sign of gingivitis.?
Periodontitis?
Periodontitis is a more severe form of gum disease. In this condition, the inflammation from gingivitis spreads deeper, affecting the periodontal ligament and the alveolar bone. As the disease progresses, the gums pull away from the teeth, forming pockets. These pockets can fill with bacteria, plaque, and tartar. The bacteria can then infect the tooth root, causing pain. The tooth may also feel loose as the supporting structures are damaged. Periodontitis can lead to the exposure of the tooth root, making it more vulnerable to further damage and pain.?
Tooth Trauma?
Fractures?
A tooth can fracture for many reasons. Biting down on hard objects like ice, nuts, or hard candies can cause a crack in the tooth. A sudden impact, such as a blow to the face during a sports injury or an accident, can also fracture the tooth. If the fracture extends to the root, it can expose the pulp or damage the nerves and blood vessels in the root canal. This can result in severe pain. Sometimes, a small crack may not be visible to the naked eye, but it can still cause pain, especially when you bite down or when the tooth is exposed to hot or cold temperatures.?
Luxation Injuries?
Luxation injuries involve the displacement of the tooth from its normal position in the socket. This can range from a simple loosening of the tooth (subluxation) to the tooth being completely knocked out (avulsion). In cases of subluxation or more severe displacements, the periodontal ligament is damaged, and the root of the tooth can be affected. The damaged ligament and the movement of the tooth within the socket can cause pain. Even if the tooth is repositioned, it may still be sensitive for some time as it heals.?
Other Factors?
Tooth Sensitivity?
Tooth sensitivity can also affect the roots. When the gums recede, the roots of the teeth become exposed. The roots are covered by a thin layer of cementum, which is not as protective as the enamel on the crown of the tooth. Once the roots are exposed, they can be sensitive to hot, cold, sweet, or acidic foods and drinks. For example, if you have a habit of brushing too hard, it can cause gum recession over time. As the gums pull back, the roots are exposed, and you may start to feel a sharp pain when you consume something cold, like ice cream.?
Sinus Infections?
The roots of the upper teeth are very close to the maxillary sinuses. When you have a sinus infection, the sinuses become inflamed and filled with mucus. This increased pressure in the sinuses can put pressure on the nerves in the upper teeth, causing a dull, aching pain that may feel like it’s coming from the tooth roots. You may also experience other symptoms of a sinus infection, such as a stuffy nose, headache, and facial pressure.?
Diagnosis of Root Pain?
Dental Examination?
When you visit the dentist with root pain, the first thing they will do is a thorough dental examination. They will look at your teeth, gums, and the surrounding tissues. Using a dental mirror and probe, they can check for signs of cavities, gum disease, fractures, or other visible problems. They may also gently tap on your teeth to see if it causes pain, which can help identify if the root is affected.?
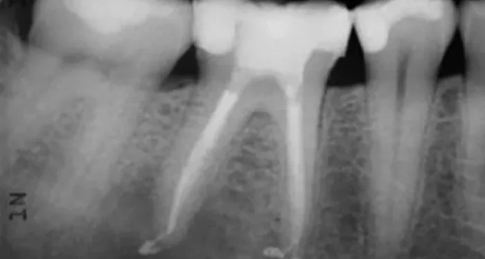
X – Rays?
X – rays are an essential tool for diagnosing root problems. They can show the dentist what’s going on inside the tooth and the surrounding bone. X – rays can reveal the presence of a deep cavity, an abscess at the root tip, a fracture in the root, or signs of bone loss due to periodontal disease. For example, if there’s an abscess at the root tip, it will show up as a dark area on the X – ray.?
Pulp Testing?
The dentist may also perform pulp testing to determine the health of the pulp inside the root canal. This can involve using a special tool to apply a cold or hot stimulus to the tooth to see if the nerve in the pulp responds normally. They may also use an electric pulp tester, which sends a small electrical current through the tooth to check the nerve’s sensitivity.?
Treatment Options?
Root Canal Treatment?
If the root pain is due to an infection in the pulp, such as pulpitis or an abscess, root canal treatment is often the recommended option. During root canal treatment, the dentist will first numb the area around the tooth. Then, they will drill into the tooth to access the pulp chamber. The infected pulp is carefully removed, and the root canals are cleaned, shaped, and disinfected. After that, the canals are filled with a special material to seal them and prevent further infection. Root canal treatment can save a tooth that would otherwise need to be extracted.?
Antibiotics?
If the root pain is caused by a bacterial infection, the dentist may prescribe antibiotics. Antibiotics can help kill the bacteria and reduce the inflammation. However, antibiotics are usually used in combination with other treatments. For example, if you have an abscess, the dentist may drain the abscess and then prescribe antibiotics to clear up the remaining infection.?
Gum Disease Treatment?
For root pain caused by gum disease, the dentist will focus on treating the underlying gum problem. This may involve professional dental cleanings, scaling and root planing. Scaling is the process of removing plaque and tartar from above and below the gum line. Root planing smooths the surface of the root to help the gums reattach to the tooth. In some cases, gum surgery may be necessary to treat severe periodontitis.?
Tooth Restoration or Extraction?
If the tooth has a fracture, the dentist will assess the extent of the damage. If the fracture is small, they may be able to repair it with a filling or a crown. However, if the fracture is severe and the tooth cannot be saved, extraction may be necessary. After extraction, you may consider options such as dental implants, bridges, or dentures to replace the missing tooth.?
Conclusion?
Tooth pain at the root can be caused by a variety of factors, from dental infections and gum diseases to tooth trauma and other issues. If you experience root pain, it’s important not to ignore it. Early diagnosis and treatment can prevent the problem from getting worse and save your tooth. By understanding the causes of root pain and seeking prompt dental care, you can find relief and maintain good oral health. Remember, your dentist is your best resource when it comes to dealing with tooth pain, so don’t hesitate to make an appointment if you’re in discomfort.?

