INTRODUCTION
Achieving porcelain-like veneer results using more conservative treatment options is now more possible than ever. With composites as an alternative to more costly veneer materials, patients can affordably enhance their smiles without compromising the integrity of their dentitions. This approach allows clinicians to avoid some of the major disadvantages of indirect restorations, such as excessive preparations of teeth and damage to surrounding tissues.1
There are several direct restorative techniques that have been modified to achieve aesthetic anterior composite veneers, such as freehand layering, silicone index techniques, injection molding, and composite filling using a digital or traditionally fabricated matrix. Placing anterior composite restorations and replicating natural tooth anatomy can be quite challenging, depending on the technique used. Additionally, patients have high expectations for the aesthetics of their veneers, considering that these restorations are highly visible, and even minor imperfections can be noticeable.
As a result, composite veneers can take hours of chair time, something that most patients and practitioners wish to avoid. Meeting these expectations requires both technical skills and the ability to communicate effectively with the patient to manage his or her aesthetic desires. Anterior composite restorations should complement the tooth anatomy alongside the patient’s facial features and personality for the best natural-looking appearance.
Modern innovations in dentistry and 3D printing technology simplify these procedures, making it easier to provide personalized solutions for predictable outcomes with composite veneers, taking the guesswork out of the equation.
In the case presented here, a new composite-filling technique is used for 4 maxillary composite veneers by utilizing a mockup (Filtek Matrix [3M]) that is customized and fabricated for each patient. Compared to the freehand technique, this matrix technique reduced chair time for doing peg laterals and diastema closure cases. It also allowed for placement and easy sculpting of beautiful direct composite veneers conservatively, maintaining the healthy tooth structure.
Clinical evaluators at DENTAL ADVISOR evaluated this matrix as efficient and successful for large-case composite veneers, especially for clinicians who feel uncomfortable creating veneers with the freehand technique.
DENTAL ADVISOR Evaluator’s Comments
- “Filtek Matrix reduced my chairside time to less than half and gave amazing veneer-like results in a very conservative way.”
- “The final contours and aesthetics of the composite veneers were great. My patient and I were both very pleased with the result.”
CASE REPORT
A teenage, female patient presented with damaged central incisors, reporting that she had chipped her front teeth on a water bottle (Figure 1). After the initial examination, additional demineralized lesions on the lateral incisor were also found. The yellowish tooth color and some white spot lesions on the mesial aspect of the lateral resulted in a condition in which the patient was unsatisfied with her smile. Considering the patient’s age, a more conservative option was selected that could still provide the aesthetic results she desired.


Overall, the patient had healthy teeth and a well-aligned arch, with the main concern about the shape and color of her maxillary incisors (Figure 2). The goal of the procedure was to preserve as much tooth structure as possible by offering an alternative to porcelain veneers without compromising aesthetics.
Diagnosis and Tooth Preparation
Once it was determined that composite veneers were an appropriate treatment option for the patient, the Filtek Matrix was selected as the method of application.
First, a full digital impression was taken and uploaded to the 3M Oral Care Portal (Figure 3), though traditional impressions may also be used (note: traditional impressions are not accepted in all areas for Filtek Matrix cases). After review, the matrix design for printing was approved, providing a customized template for the patient’s new smile (Figure 4).


Before doing any prep, the patient’s tooth shade was taken to choose a composite shade that matched the rest of her dentition. After selecting a shade, minimal prep was performed to roughen the labial surface and create rounded angles in the incisal edges of the 4 front teeth. Next, an etching gel (Scotchbond Universal Etchant [3M]) was applied to create micromechanical retention and increase bond strength (Figure 5).


After the etching gel was rinsed away and the tooth surfaces were dried, an adhesive (Scotchbond Universal Plus Adhesive [3M]) was applied over the entire surface of the prep (Figure 6). A curing light was used for 10 seconds to polymerize the bonding agent.
Placing the Matrix for Restorative Treatment
Once the custom-fabricated matrix was received, the patient returned for treatment. The lingual matrix was placed first, ensuring that it fit snugly over the tooth surface. Next, the labial matrix was placed, gently clamping the matrices together on their distal ends to secure them.
First, the gingival margin was created using a flowable composite in shade A2 (Filtek Supreme Flowable Restorative [3M]) (Figure 7) to improve the seal between the matrix and the tooth. Once the gingival margins were filled, the doors of the Filtek Matrix were closed, ensuring excess material was removed around the door and gingival margin, and the composite was light cured for 20 seconds.

Next, the incisal edge was built up using shade A1B (Filtek Supreme Ultra Universal Restorative [3M]), increasing the vertical dimension of occlusion and creating a better shape where the patient had chipped teeth. It is recommended to slightly overfill the cavity to reduce the potential for a gap between the composite and the door (Figure 8).

After polymerizing the composite, the doors of the matrix were opened to reveal the initial restoration (Figure 9). After confirming that the composite had successfully filled all areas of the matrix and that there were no voids, the matrix was removed (Figure 10).


After removing any flash and contouring the restoration, the interproximal contacts were verified using dental floss to ensure proper fit and alignment. If the interproximal contacts are too tight or not properly aligned, dental tools like burs, blades, saws, or strips can be used to separate and smooth interproximally.
Lastly, the restoration was finished and polished using Sof-Lex discs (3M) to achieve lifelike gloss, and the occlusal interferences of the restorations were checked and adjusted (Figure 10).
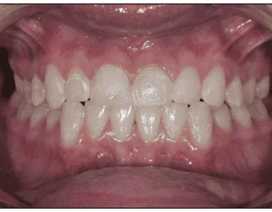
The final result was an aesthetically pleasing set of composite veneers on teeth Nos. 7 to 10 (Figure 11). More importantly, the patient’s expectations were met with a conservative and cost-effective solution. She loved the results.

CONCLUSION
In the last few years, the demand for composite veneers has increased exponentially as many patients are now seeking more conservative solutions for veneer-like results. Tools like the Filtek Matrix make it possible for more dentists to offer this treatment and reduce chair time.
Incorporating the Filtek Matrix into dental practice offers numerous benefits. The ease of use for dentists and the predictability and efficiency it brings to the restorative process enhance overall production and patient satisfaction.
Clinical evaluation by DENTAL ADVISOR further highlights the positive outcomes achieved with the Filtek Matrix, reinforcing its reliability and efficacy.
The use of the Filtek Matrix in this clinical case provided an opportunity to create beautiful veneers without compromising healthy dentition. The ease of use of the custom-fabricated matrix made it simple to create lifelike anatomy without the need to freehand, making it an excellent option for clinicians who are new to composite veneers.
REFERENCES
- Aristidis GA, Dimitra B. Five-year clinical performance of porcelain laminate veneers. Quintessence Int. 2002;33(3):185–9.
ABOUT THE AUTHOR
Dr. Bunek, CEO and editor-in-chief of DENTAL ADVISOR, leads a seasoned team of researchers and clinicians in reporting evidence-based data relating to clinical and laboratory properties of dental products/equipment. She earned her DDS degree from the University of Michigan School of Dentistry and maintains a private practice in Ann Arbor, Mich. She can be reached at [email protected].
Disclosure: Dr. Bunek is CEO and co-owner of Dental Consultants, Inc (DENTAL ADVISOR) and Bunek Dental Studio.


