/
/
Do All Teeth Need Filling

Do All Teeth Need Filling

Dental health is a crucial part of overall wellness, and one common treatment many individuals encounter is the dental filling. With growing concerns about cavities and tooth decay, a frequently asked question is whether all teeth require filling. This article discusses when fillings are necessary, how to prevent needing them, and the best practices for keeping your teeth healthy.

What Is a Dental Filling?

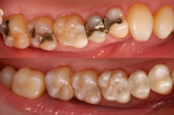
A dental filling is a restorative procedure used by dentists to treat cavities, which are small holes that develop in teeth due to decay. The process involves removing decayed tooth material and replacing it with a filling material like silver amalgam, gold, ceramic, or composite resin. The aim is to restore the tooth’s shape and function while preventing further decay.

Do All Teeth Need Filling?

Not all teeth need filling. Dental fillings are only necessary when a tooth has become damaged by decay or when a cavity forms. A healthy tooth, with no signs of decay or structural problems, does not require a filling. In fact, placing a filling in an otherwise healthy tooth is not recommended and could even compromise the tooth’s strength.

How Do Dentists Decide If a Tooth Needs Filling?

Dentists determine the need for a filling during routine examinations. They look for signs of decay, usually by visually inspecting the teeth and using dental instruments to probe for soft spots. Sometimes, X-rays are used to find cavities that are not visible on the surface. If a cavity or a small crack is found, the dentist evaluates whether it is large enough to require a filling or if other treatment options are more appropriate. Some very minor issues may be watched over time rather than being treated immediately.

Causes of Tooth Decay and Cavities

Tooth decay is caused by harmful bacteria in the mouth. These bacteria produce acids that erode tooth enamel. Foods and drinks high in sugar and starch increase the amount of acid produced, putting teeth at greater risk. Plaque, which is a sticky film of bacteria that forms on teeth, can build up and accelerate decay if not removed by brushing and flossing.

Why Are Fillings Necessary for Some Teeth?

If decay is detected, it is important to treat it promptly. Left untreated, a cavity can grow larger, causing pain and possibly leading to infection or tooth loss. The filling stops the progression of decay, restores the tooth, and protects it from further damage. Fillings are therefore essential for maintaining oral health when a cavity exists.

The Role of Prevention: Keeping Teeth Filling-Free

Perhaps the best approach is to prevent tooth decay and avoid the need for fillings altogether. Prevention centers on good oral hygiene and regular dental checkups. Brushing at least twice a day and flossing once a day helps remove food particles and plaque from tooth surfaces and between teeth. Dentists also recommend professional cleanings for removing tartar and for early detection of cavities. Regular checkups, ideally every six months, allow dental professionals to monitor oral health, clean teeth thoroughly, and catch any signs of trouble before they necessitate treatment.

Are Dental Fillings Safe?

Dental fillings are considered a safe procedure when placed by a qualified dental professional. The materials used have been studied and chosen for their effectiveness and safety profiles. Today, patients can choose from options like composite resin, ceramic, silver amalgam, or gold. Choosing the right filling type depends on the location of the cavity, cost considerations, and aesthetic preferences. Fillings are a routine dental procedure with very low risk of harm when done properly.

Types of Filling Materials

Different situations call for different materials. Silver amalgam fillings are durable and used often for back teeth that require strong chewing surfaces. Gold fillings are also strong and last many years but tend to cost more. Ceramic and composite resin fillings offer a natural, tooth-colored look and are typically used for visible teeth. Your dentist will help you pick the best option for your needs.

Do Fillings Last Forever?

Dental fillings do not last forever. They can wear down over time and may need to be replaced. Factors like grinding your teeth, chewing on hard foods, and the natural wear and tear from daily use influence how long a filling lasts. Bruxism, which is grinding or clenching your teeth, may shorten the lifespan of fillings. Regular dental visits can help monitor and maintain fillings to ensure continued tooth protection.

When Might a Tooth Not Require a Filling?

Not every area of damage or slight decay necessitates an immediate filling. Sometimes, very early cavities or enamel defects are managed through monitoring, fluoride treatment, or changes in oral hygiene rather than by placing a filling. In these cases, the dentist will carefully watch to see if the area gets worse and intervene only when filling becomes necessary.

Additional Benefits of Regular Dental Checkups

Dental checkups do more than catch cavities. Dentists also look for signs of oral disease and systemic health issues—certain illnesses may first show symptoms in the mouth. Regular visits help in the early detection of oral cancer, gum disease, and other problems that can affect your overall health.

Conclusion

Not all teeth need filling. Only those teeth affected by decay, cavities, or damage require this restorative dental procedure. Healthy teeth do not need filling and are best maintained through good oral hygiene, a balanced diet, and regular professional checkups. Prevention is always preferable, and regular monitoring by dental professionals remains vital in keeping teeth healthy and reducing the need for fillings. If you suspect you have a cavity or are overdue for a dental visit, make an appointment with your dentist and take the first step toward better oral health.

FAQ

What happens if I do not fill a cavity?

If a cavity is left untreated, the decay can worsen, leading to tooth pain, infection, possible tooth loss, and even damage to surrounding teeth.

Can all cavities be prevented?

Many cavities can be prevented through proper oral hygiene practices and regular dental checkups, but some people may be more susceptible due to genetic factors or medical conditions.

How often should I visit the dentist to prevent cavities?

Most dental professionals recommend checkups every six months to maintain oral health and catch early signs of decay.

Is it painful to get a filling?

Dental fillings are performed under local anesthetic, making the procedure comfortable for most patients. Mild discomfort may occur after the procedure but subsides quickly.

Can a filling be replaced if it gets damaged?

Yes, a dentist can replace or repair damaged fillings to restore the tooth’s function and protect it from further decay.

WhatsApp