Postoperative Pain Relief in Dentistry- Part 2
Main Content (This article is part 2 of the 2-part series on postoperative pain relief in dentistry) Abstract Pain is one of the main problems
Main Content (This article is part 2 of the 2-part series on postoperative pain relief in dentistry) Abstract Pain is one of the main problems
Main Content Abstract This article tells us about the different types of mouthwashes and the importance of it in day to day life. It imparts

Marketing of Dental products About us : Dentist Channel Online is an award-winning Digital Media company that exclusively caters to the Dental Fraternity. we have

Main Content This article is the winning entry of the DRDCA 2020 Article Contest (Third Position). Congratulations to the author Dr. Veena Pai! INTRODUCTION Adhesive

Main Content This article is the winning entry of the DRDCA 2020 Article Contest (First Position). Congratulations to the author Dr. Mohini Daultani! Abstract Dark

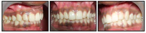
Main Content This article is the winning entry of the DRDCA 2020 Article Contest (Second Position). Congratulations to the author Dr. Gulafsha M! Co-authored by

Main Content Abstract This article is based on how one should maintain his/her oral health at home, during and post lockdown. Maintenance of hygiene is
Main Content In this article, the current COVID-19 situation will be seen from the point of view of a dentist – in terms of practice