
Rising Oral Health Risks Among Black Adults Linked to Cost, Access, and Dental Anxiety
Many Americans postpone dental visits, hoping minor issues such as toothaches or bleeding gums will resolve on their own. For Black adults, this delay can

Many Americans postpone dental visits, hoping minor issues such as toothaches or bleeding gums will resolve on their own. For Black adults, this delay can

Many Americans delay visiting the dentist, hoping minor toothaches or bleeding gums will resolve on their own. For Black adults, this delay can have particularly

Dental cleaning is a routine procedure that everyone should undergo regularly to maintain oral health. A simple dental cleaning, also known as a prophylaxis, is

Mount Lawley, WA, March 9, 2026 – Dr. Camelia Furlan, Principal Dentist at Dentique Dental Spa in Mount Lawley, is raising awareness for World Oral

Hardened plaque, also known as tartar or calculus, is a common dental problem that affects millions of people worldwide. Plaque is a sticky film of

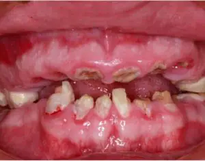
A Liverpool mother says she was left with severe dental problems after undergoing cosmetic treatment at a dental clinic in Dubai she found on social

People living in Cambridgeshire and Peterborough are being reminded that urgent dental care on the NHS is available, with many more emergency appointments now offered

PETALING JAYA – As we step into the new year, many people focus on improving their health through diet and exercise, yet oral health often

As the new year begins, a Filipino dentist is encouraging the public to include oral health among their key goals for 2026, stressing that a

A person’s smile can reveal more than emotion. Growing scientific evidence suggests that oral health—especially the condition of the gums—is closely linked to heart health,

As research into the oral microbiome moves from academic journals into public discussion, consumer interest in microbiome-focused dental products is rising. One example is Synadentix,

Health leaders at NHS Shropshire, Telford and Wrekin (NHS STW) have announced additional urgent dental appointments for residents across the county. These are part of