‘Failed systems’ – no change in earnings for dentists in England
Self-employed dentists in England saw no change to their taxable income in 2019/20, new data reveals. The figure remained at £68,600 for the second year
Self-employed dentists in England saw no change to their taxable income in 2019/20, new data reveals. The figure remained at £68,600 for the second year
With more than 40 million now fully vaccinated, the UK is well on the way to protecting itself from COVID-19 transmission. Vaccine passports have been
Family, friends and social media – these were reportedly the most common sources of dental information during the pandemic. This is according to a new
Chief dental officer Sara Hurley has announced new changes to fallow time requirements in England. Fallow time following an aerosol-generating procedure (AGP) is no longer
No dental practices are accepting new NHS patients in York, it has been revealed. Out of the 39 practices in York, none were taking on
‘Not yet business as usual’ – this is the key message that has been put out to the dental profession by chief dental officer Sara
Monday 19 July – the date we will wave goodbye to the restrictions that have guided our lives for more than 16 months. Dubbed ‘freedom

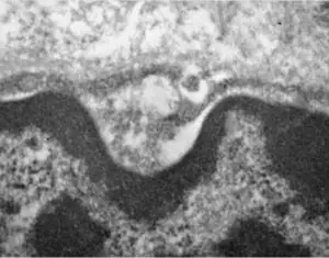
Researchers at the University of São Paulo Medical School (FM-USP) have found that SARS-CoV-2 infects and replicates in the salivary glands, according to Agencia FAPESP.
New figures reveal that NHS practice values plummeted in the last quarter as the UK experienced its third lockdown. This is according to a new

Many common dental procedures have very low risk for increasing the aerosol spread of COVID-19, according to the University of Bristol, while some procedures such

The US Food and Drug Administration (FDA) is revoking the emergency use authorizations (EUAs) of all disposable respirators that have not been approved by the
Patients will not have to sign dental forms until the 31 August 2021, it has been announced. The government has again extended the suspension on