Chord Strengthens Presence in Indianapolis Market
Chord Specialty Dental Partners (“Chord”), a premier dental support organization, today announced its partnership with Dr. J Pediatric Dentistry, a leading pediatric dental group serving
Chord Specialty Dental Partners (“Chord”), a premier dental support organization, today announced its partnership with Dr. J Pediatric Dentistry, a leading pediatric dental group serving

HELSINKI, Finland: The prevalence of adult periodontitis continues to pose a major global public health challenge, highlighting the need for evidence on the effectiveness of
Schematic diagram of plate design and experimental flow for light irradiation experiments. Credit: Journal of Biophotonics (2025). DOI: 10.1002/jbio.70015 New Griffith University research investigated how
Dental professionals looking to elevate their influence and shape the future of dentistry—as well as dental innovators eager to disrupt the standard of patient care—are
Main Content In a case that has surprised both ENT and dental professionals, a 63-year-old woman from Surat, who had been living with significant hearing

The Missing Voices: Women Surgeons Kept from the Podium Written by: Dr. Maggie Augustyn, FAGD, FICOI, FAAIP Women make up 37.7%1 of dentists in the
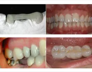
Main Content Today, dental treatments provide lasting solutions to dental problems. The dentist has multiple options in terms of materials not only to reconstruct broken

NEW YORK, US: Oral diseases and depression are both projected to rise in prevalence over the coming decades, and recent findings suggest the two may
A study published in the journal Scientific Reports indicates that physical exercise combined with omega-3 supplementation considerably improves the immune response and reduces the severity
Schematic of HA synthesis and pack cementation for coating HA nanorods onto Ti-6Al-4V: Bioactive substrate formation with enhanced tribological properties. Credit: Scientific Reports (2025). DOI:
Salivary tissue-organoid biobanking preserves primitive salivary cells. Credit: npj Regenerative Medicine (2025). DOI: 10.1038/s41536-025-00410-5 Millions of people are affected by chronic dry mouth, or xerostomia,
Main Content Choosing the right dental software in 2025 is critical as practices and labs embrace a full digital transformation. Modern software streamlines communication and