Alcohol-Based Mouthwash Linked to Changes in Oral Microbiome, Study Finds
The oral microbiome, the community of bacteria in the mouth, plays a crucial role in digestion and maintaining oral health. However, alterations to this microbial
The oral microbiome, the community of bacteria in the mouth, plays a crucial role in digestion and maintaining oral health. However, alterations to this microbial

Gum disease may be impacting more than just your oral health—it could also be affecting your brain, potentially increasing the risk of cognitive decline. A

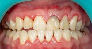
If you’ve noticed your gums feeling tender or bleeding while brushing, hormonal fluctuations might be to blame, especially for women. As women go through life,

A recent retrospective study aimed at evaluating the effect of rheumatoid arthritis (RA) on the prevalence of peri-implant diseases has provided new insights into dental
The global dental implants and prosthetics market is experiencing robust growth, with its estimated size projected to increase from USD 10.62 billion in 2024 to

Oral health plays a crucial role in your overall well-being. Just as regular physical exercise is vital for your body, routine dental checkups are essential

Yoga Guru Swami Ramdev recently held a candid discussion with dentists, Patanjali doctors, and researchers in Haridwar about maintaining clean and healthy teeth. The conversation

Brushing your teeth just once daily might seem harmless, but dental professionals strongly warn against this practice, highlighting the significant risks it poses to oral

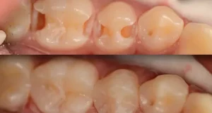
A recent survey by the Finnish Institute for Health and Welfare (THL) has revealed alarming statistics about the prevalence of tooth erosion in Finland, with

As winter approaches and sunlight becomes scarce, many people unknowingly put their oral health in jeopardy due to a common deficiency in Vitamin D, which

A groundbreaking study is underway in Lithuania to test the effectiveness of an innovative, light-activated antibacterial method for managing severe periodontitis. Titled “Regular home-use of

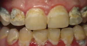
Periodontal disease leads to the gradual destruction of structures that support the teeth, primarily through the interaction between bacteria and the host’s immune response. Conditions