
Study Links Oral Health to Systemic Diseases: The Role of Oral Microbiome
Seoul, South Korea – A team of researchers led by Professor Lee Hyo-jung from Seoul National University Bundang Hospital, alongside Professors Kim Hyun-ji and Park

Seoul, South Korea – A team of researchers led by Professor Lee Hyo-jung from Seoul National University Bundang Hospital, alongside Professors Kim Hyun-ji and Park

Excessive sugar consumption has long been associated with numerous health issues, but growing evidence suggests it also plays a major role in inflammation and microbial

Edentulism, defined as the complete loss of natural teeth, represents a significant indicator of oral health disease burden. This condition accumulates the effects of various

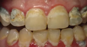
The oral microbiome, a community of bacteria living in the mouth, plays a crucial role in digestion and maintaining oral health. However, shifts in its

Recent research has examined the association between periodontitis and all-cause as well as cause-specific mortality rates among adults diagnosed with depression, utilizing data from the

THURSDAY, Sept. 19, 2024 (HealthDay News) — A recent study published in the Journal of Dental Research on August 5 reveals a significant association between

A recent study has highlighted the benefits of a novel antibacterial light-activated Lumoral treatment for improving oral health among elderly residents in care homes. This

Ahead of Dental Health Week (August 5-11), a survey by the Australian Dental Association (ADA) highlights significant gaps in gum care among Australians. The survey
A recent study has revealed that dark chocolate could play a significant role in reducing gum disease risk. Researchers found that antioxidants present in cocoa

A recent study underscores the significant impact dental hygiene can have on heart health, particularly in relation to atrial fibrillation (AFib). Published on April 10

BRUSSELS — The European Federation of Periodontology (EFP), supported by meridol, has introduced “The Journey to a Healthy Smile” campaign to raise awareness about oral

A significant number of Romanians face dental health challenges, with data from the LIFE Group revealing that one third of the population suffers from various