
When Can a Cavity Not Be Filled?
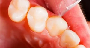
Cavities are a common dental issue that occurs when bacteria in the mouth produce acids that eat away at the tooth structure. While many cavities

Cavities are a common dental issue that occurs when bacteria in the mouth produce acids that eat away at the tooth structure. While many cavities

Cavity fillings are a common dental procedure aimed at restoring the integrity of a tooth affected by decay. Understanding what goes into a cavity filling

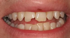
Tooth pain can be distressing, and many people find themselves wondering if they can still get a filling if their tooth hurts. This question is

Dental health is crucial for overall well-being. One common issue many people face is cavities. Cavities occur when tooth decay damages the tooth structure. When

Dental fillings are one of the most common procedures performed by dentists. They help restore teeth that have been damaged due to decay, fractures, or

Getting a cavity filled is a common dental procedure. Many people have concerns about how much it will hurt. Understanding the process and what to

Tooth fillings are common dental procedures used to treat cavities and restore the function of a tooth. While many patients experience relief after getting a

Finding out that you have a cavity can be stressful, especially if you do not have dental insurance. Many people worry about the cost of

October marks National Orthodontic Health Month, making it an ideal time to prioritize the health and alignment of your smile. Neighborhood Dental, with eight locations

As we welcome October, Inner Banks Dental in Washington, North Carolina, highlights the significance of National Dental Hygiene Month. This observance serves as a vital

Dental health plays a crucial role in overall well-being, and one of the common treatments for cavities and tooth decay is dental fillings. Among the

Dental fillings play a vital role in restorative dentistry. They help repair teeth that have been damaged by decay, trauma, or wear. Choosing the right