
Does Your Tooth Hurt When a Filling Falls Out?
Dental health is an essential aspect of overall well-being, and one common issue that many individuals face is the loss of a dental filling. This

Dental health is an essential aspect of overall well-being, and one common issue that many individuals face is the loss of a dental filling. This

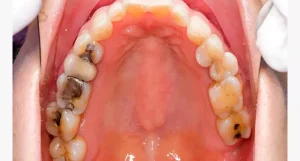
Cavities are a common dental issue that many people face at some point in their lives. They occur when tooth decay leads to the formation

Dental fillings are a vital part of restorative dentistry. They help repair teeth affected by decay and restore both function and aesthetics. However, fillings can

Cavities are a common dental issue that many people face at some point in their lives. When tooth decay progresses, it can lead to discomfort

In celebration of National Dental Hygiene Month this October, America’s ToothFairy is calling on dental professionals nationwide to join its third annual My Smile Matters

The global pediatric dental market is set to experience significant growth in the coming decade, according to a new report by Future Market Insights. In

Tooth cavity filling is a common dental procedure aimed at restoring teeth that have been damaged by decay. When a tooth decays, it creates a

When you have a dental issue that requires a temporary filling, one of the most common questions is how long it will take for the

Cavity fillings are one of the most common dental procedures. They help repair tooth decay, prevent further damage, and restore the tooth’s functionality. However, many

Temporary tooth fillings are an essential part of managing dental emergencies when you can’t get to the dentist right away. Whether it’s a weekend, holiday,

Dr. Zaeem Jafri, a dental expert from British oral care company Ordo, has highlighted six common mistakes people make when brushing their teeth, warning that

Tooth fillings are a common dental procedure. They are used to treat cavities caused by tooth decay. Understanding the costs associated with tooth fillings is