
How Long Should a Tooth Be Sore After a Filling?
Getting a tooth filling is a common dental procedure. It is often necessary to restore a tooth damaged by decay or trauma. While fillings are

Getting a tooth filling is a common dental procedure. It is often necessary to restore a tooth damaged by decay or trauma. While fillings are

Amalgam fillings have been a trusted solution for dental restorations for many years. They are made from a combination of metals, including silver, mercury, tin,

ATLANTA, Oct. 15, 2024 – 19th Street Dental, a premier dental care provider in the Atlanta area, is proud to announce its Associate Partnership with

Dental fillings are a common treatment for cavities. Many people wonder how long the appointment will take. Understanding the duration of a filling appointment can

When you get a cavity filled, it is common to wonder about your eating habits afterward. Many patients are unsure if they can eat immediately

Tooth fillings are a common dental treatment for cavities. Many people have questions about whether tooth fillings are beneficial or harmful. Understanding the pros and

Dental fillings play a vital role in restorative dentistry. They help repair teeth that have been damaged by decay, trauma, or wear. Choosing the right

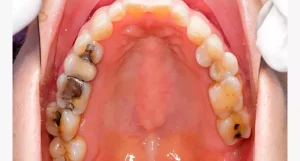
Cavities are a common dental issue that many people face at some point in their lives. They occur when tooth decay progresses, creating holes in

Dental health is crucial for overall well-being, and addressing cavities promptly is essential. A common treatment for cavities is a molar filling. However, many patients

Silver fillings, also known as amalgam fillings, have been a common choice for dental restorations for many years. They are durable and effective for filling

Getting a dental filling is a common procedure for many people. Glass ionomer fillings are a popular choice due to their ability to release fluoride

Dentists across Oregon are increasingly reluctant to participate in the Oregon Health Plan (OHP), with 55% to 70% reporting that they do not accept patients