
What is Considered a Lot of Cavities?
Cavities, also known as dental caries or tooth decay, are a common dental issue that affects people of all ages. They occur when the hard

Cavities, also known as dental caries or tooth decay, are a common dental issue that affects people of all ages. They occur when the hard

NHS dentistry is facing a critical shortage, with leaders warning that the lack of access to care is adding strain to an already overwhelmed health

Dental fillings are common procedures in dentistry. They are essential for restoring teeth that have been damaged by decay or trauma. If you find yourself

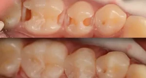
Dental fillings are a common treatment for restoring teeth affected by decay or damage. One of the more complex fillings is a three-surface filling, which

Tooth-colored fillings are a popular choice for many dental patients. They offer a natural look while effectively repairing cavities and damaged teeth. Understanding what these

Everyone aspires to achieve a dazzling smile, but for avid tea and coffee drinkers, the battle against teeth staining and discoloration is all too real.

Yellow spots on your teeth can be concerning. They can affect your smile and overall confidence. Understanding the reasons behind these discolorations is essential for

Dental fillings are a common dental procedure used to treat cavities and restore damaged teeth. If you are living in New South Wales (NSW) and

Most individuals understand the significance of maintaining good oral hygiene, with the NHS recommending that we brush our teeth at least twice daily to prevent

A disruption in the balance between healthy and harmful bacteria in the mouth, often caused by inadequate oral hygiene, can lead to various dental issues.

Getting a dental filling is a common procedure. Many people experience this at some point in their lives. However, many may not fully understand what

The Rockhampton Youth Co-Responder Team (YCRT) has teamed up with the CQUniversity Oral Health Clinic to launch Project Smiles, an initiative aimed at improving dental