
How Do Cavity Fillings Work?
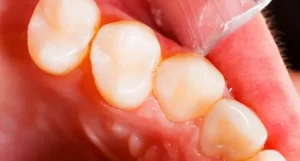
Cavities are a common dental issue that can affect people of all ages. They occur when tooth decay damages the structure of a tooth. If

Cavities are a common dental issue that can affect people of all ages. They occur when tooth decay damages the structure of a tooth. If

Dental fillings are a common solution for cavities, providing a way to restore the structure and function of a tooth after decay. While fillings can

Dental fillings are a common and essential solution for treating cavities and restoring the function of teeth. Front teeth, also known as anterior teeth, are

When a dentist discovers a cavity or dental issue that requires treatment, they may place a temporary filling. Temporary fillings are crucial in dental care.

Visiting the dentist is often associated with anxiety and fear. Many people worry about the pain they might experience during a procedure, especially when it

Getting a filling is a common dental procedure designed to restore a tooth affected by decay. While most patients recover well after the procedure, some

Maintaining good oral health is essential for overall well-being. One of the most common dental procedures is filling a cavity. Many patients wonder about the

Getting a cavity filled is a common dental procedure. Many people experience anxiety about the process, but the recovery can often be straightforward. After a

Molly Haworth, a teacher and mother of three from Leeds, has shared her transformative journey in managing painful teeth grinding, or bruxism, thanks to a

Cavity fillings are common dental procedures. Many people worry about pain during and after the process. Understanding what to expect can help reduce anxiety and
A critical alert has been raised regarding a troubling trend that could lead to painful and irreversible dental damage. While many people turn to TikTok

Britons are increasingly resorting to drastic measures, including extracting their own teeth with pliers and alcohol, due to what industry leaders are calling a “national