
What Is the Easiest Way to Pull out a Tooth
Tooth extraction can be a daunting prospect for many people, whether due to dental issues, injury, or orthodontic needs. While it is always advisable to

Tooth extraction can be a daunting prospect for many people, whether due to dental issues, injury, or orthodontic needs. While it is always advisable to

Tooth extraction is often a last resort in dental care, typically performed when a tooth is severely damaged, infected, or poses a risk to surrounding

Wisdom teeth removal is a common dental procedure that many people undergo in their late teens or early adulthood. While the surgery is routine, the

Tooth extraction is a common dental procedure that involves the removal of a tooth from its socket in the bone. While many people may associate

Professional Dental and Orthodontics, a trusted name in Utah since 2004, delivers an expansive range of services, from general dental care to cosmetic treatments and

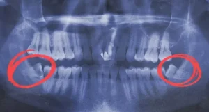
Tooth decay, also known as dental caries or cavities, is one of the most common dental problems affecting individuals of all ages. When decay progresses

DuBOIS – Penn Highlands Healthcare has announced the addition of Dr. Katie Richardson, DDS, MS, an experienced oral and maxillofacial surgeon, to its esteemed medical

In recent years, natural remedies for dental health have gained popularity, with oil pulling emerging as a prominent practice. Advocates claim that this ancient Ayurvedic

Tooth extraction is a common dental procedure that many people may need to undergo at some point in their lives. Whether due to severe decay,

As a dentist, I often encounter patients who express concerns about various potential side effects following a tooth extraction procedure. One of the more common

Tooth extraction is a common dental procedure performed to remove teeth that are damaged, decayed, impacted, or causing overcrowding. While many patients feel anxious about

As a dentist, I often encounter patients who are anxious about the after-effects of wisdom teeth removal, particularly the lingering holes in the gums where