
What Can Lead to Tooth Extraction
Tooth extraction is a common dental procedure. It is done when a tooth is no longer able to be saved and needs to be removed

Tooth extraction is a common dental procedure. It is done when a tooth is no longer able to be saved and needs to be removed

In recent years, dental health issues have gradually attracted the attention of the public, especially young people. In the past, people usually thought that dental

Periodontal disease, also known as gum disease, is a common but serious condition that affects the gums and bones supporting the teeth. It can range

Recent research from Cornell University has uncovered an alarming new insight into how the foods we eat can impact oral health. It turns out that

Dentists may one day be able to regrow human teeth, replacing the need for implants, thanks to a pioneering technique recently tested in pigs. Scientists

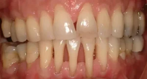
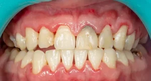
As patients increasingly seek aesthetic dental solutions, the emphasis on esthetic outcomes has become a vital component of periodontal treatment planning. Addressing gingival recession, a
Painful gums after eating acidic foods can be an uncomfortable experience for many people. It is common to experience discomfort, irritation, or sensitivity in the

Periodontitis, a chronic inflammatory condition affecting the oral cavity, is marked by the progressive destruction of the structures that support the teeth. The harmful effects
The oral microbiome, the community of bacteria in the mouth, plays a crucial role in digestion and maintaining oral health. However, alterations to this microbial

Tooth decay, also known as dental caries or cavities, is a common oral health issue that affects millions of people worldwide. While many consider tooth
As we set our health goals for the new year, it’s crucial to remember that caring for our mouth is just as important as the

At the Government Dental College and Hospital in Mumbai, where I pursued my MDS in Orthodontics, there is a striking contrast that I believe encapsulates