
Penn Study: Trained Immunity May Trigger Gum Disease and Bone Loss
In an effort to train the innate immune system to fight inflammatory diseases such as periodontitis and arthritis, researchers at the University of Pennsylvania School

In an effort to train the innate immune system to fight inflammatory diseases such as periodontitis and arthritis, researchers at the University of Pennsylvania School

VIENNA, Austria: In just two weeks, more than 10,000 oral health professionals from across the globe are expected to gather for EuroPerio11, the leading international congress

VIENNA, Austria: At EuroPerio11, which will be held from 14 to 17 May, a dedicated session will shine a spotlight on patients’ involvement in their

Experiencing pain at the root of a tooth can be a distressing and often puzzling experience. Unlike other types of toothaches, root pain can feel

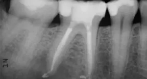
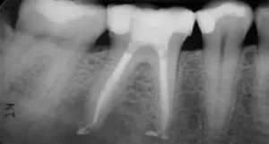
Root canal treatment is a common dental procedure designed to save a severely damaged or infected tooth. It involves removing the infected pulp, cleaning and

Root canal treatment is a common dental procedure designed to save a severely damaged or infected tooth. It involves removing the infected pulp, cleaning and

Root canal treatment is a common dental procedure aimed at saving a severely damaged or infected tooth. It involves removing the infected pulp, cleaning and

“Toothache is worse than a serious illness”! If you don’t pay attention to diet and oral hygiene for a long time, you are prone to

PHIJ (Periodontal Health Research Institute of Japan), which provides dental education programs in Tokyo, Nagoya and Fukuoka, as well as Houston and Omaha; soeasy Co.,

Today, replacing missing teeth with dental implants is considered the standard treatment for single-tooth spaces. Numerous clinical studies have shown that single-tooth implant treatment is

According to the World Health Organization (WHO), periodontal disease affects millions of patients worldwide, affecting up to 1 billion adults worldwide. Periodontitis (PD) is characterized

Multiple studies have described an association between periodontal disease and stroke risk, and various mechanisms have been proposed to explain this association. However, when these