
How Much Does Dental Insurance Usually Cover?
Dental insurance is an essential service for many people. It helps with the costs of dental care, which can be expensive without coverage. However, many

Dental insurance is an essential service for many people. It helps with the costs of dental care, which can be expensive without coverage. However, many

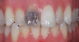
Noticing dark discoloration around your dental fillings can be alarming. Many patients become concerned when they see black lines or shadows forming at the edges

Tooth decay is one of the most common health problems worldwide, affecting people of all ages. As a dentist, I find many patients are surprised

I was recently shocked when my dentist quoted me £300 to whiten my teeth, so I immediately went home and started searching online for the

AARP dental insurance is a popular choice for seniors who need dental coverage. Dental health is an important part of overall health, and it becomes

Dental insurance can be confusing for many, but understanding how much Aetna dental insurance covers is crucial for making informed decisions about your dental care.

Tom’s of Maine has unveiled its latest campaign that redefines what it means to whiten teeth naturally, challenging the misconception that natural whitening toothpaste is

Dental insurance can be confusing, especially with the different plans available. One of the most common types of dental insurance is HMO dental insurance. Understanding

Porcelain veneers are thin, custom-made shells that cover the front surface of your teeth. They are often used to improve the appearance of teeth that

I admit, my oral health often takes a backseat. When it comes to taking care of my skin and hair, it’s easy to forget that

In an exclusive interview with PUNCH Healthwise, oral health experts said that teeth whitening service providers in beauty salons often use unsafe or ineffective whitening

Dental health is an important part of overall well-being, and having the right dental insurance can make a huge difference in accessing quality care. Many