
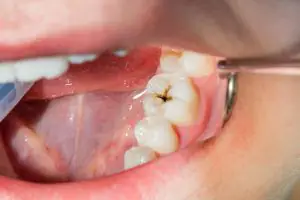
SDF may remineralize teeth
Silver diamine fluoride (SDF) may promote remineralization in teeth, preventing and slowing the progression of caries, according to a review recently published in the Journal of the American Dental Association. However, further research may be needed to compare SDF concentrations and application times, the authors wrote. “Results of in vitro studies and a crossover clinical trial were positive for silver diamine fluoride in remineralization,” wrote the authors, led by Gerana Araujo












